The FRYL Antibody (PAC061927) is a polyclonal antibody designed for research involving FRYL, a protein known for its role in various cellular processes including cell proliferation and differentiation. This highly reactive antibody, raised in rabbits, is validated for use in Western blot applications and binds specifically to the FRYL protein, allowing for detection and analysis in different cell types.FRYL, also known as FRY-like transcription coactivator, is a key player in regulating gene expression and is implicated in various biological processes.
Its involvement in cell growth and differentiation makes it an important target for studies in developmental biology, oncology, and stem cell research. Understanding the function of FRYL could provide insights into the mechanisms underlying these processes and potentially lead to the development of new therapeutic strategies.
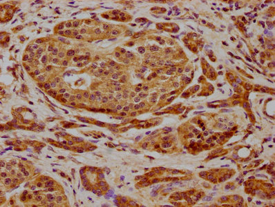
IHC image of PACO61927 diluted at 1:600 and staining in paraffin-embedded human pancreatic cancer performed on a Leica BondTM system. After dewaxing and hydration, antigen retrieval was mediated by high pressure in a citrate buffer (pH 6.0). Section was blocked with 10% normal goat serum 30min at RT. Then primary antibody (1% BSA) was incubated at 4°C overnight. The primary is detected by a biotinylated secondary antibody and visualized using an HRP conjugated SP system.
Immunofluorescence staining of U251 cells with PACO61927 at 1:100, counter-stained with DAPI. The cells were fixed in 4% formaldehyde, permeabilized using 0.2% Triton X-100 and blocked in 10% normal Goat Serum. The cells were then incubated with the antibody overnight at 4°C. The secondary antibody was Alexa Fluor 488-congugated AffiniPure Goat Anti-Rabbit IgG(H+L).
Background:
Plays a key role in maintaining the integrity of polarized cell extensions during morphogenesis, regulates the actin cytoskeleton and plays a key role in patterning sensory neuron dendritic fields by promoting avoidance between homologous dendrites as well as by limiting dendritic branching (By similarity). May function as a transcriptional activator.
Synonyms:
Protein furry homolog-like (ALL1-fused gene from chromosome 4p12 protein), FRYL, AF4P12 KIAA0826
UniProt Protein Function:
Plays a key role in maintaining the integrity of polarized cell extensions during morphogenesis, regulates the actin cytoskeleton and plays a key role in patterning sensory neuron dendritic fields by promoting avoidance between homologous dendrites as well as by limiting dendritic branching (). May function as a transcriptional activator.