The FUBP1 Antibody (CAB5587) is a high-quality antibody developed for reliable detection and analysis of target proteins. This antibody, produced in rabbits, exhibits high reactivity with human samples and is validated for use in Western blotting applications.FUBP1, also known as far upstream element-binding protein 1, plays a key role in controlling the expression of genes involved in cell growth, differentiation, and survival. Dysregulation of FUBP1 has been implicated in various diseases, including cancer, making it an attractive target for research aimed at understanding the molecular mechanisms underlying these conditions.
This antibody is validated for use in WB, IHC-P, IF/ICC, IP, ELISA applications and has demonstrated reactivity against Human, Mouse, Rat samples.
Product Name:
FUBP1 Antibody
SKU:
CAB5587
Size:
20μL, 100μL
Reactivity:
Human, Mouse, Rat
Conjugate:
Unconjugated
Immunogen:
Recombinant protein (or fragment).This information is considered to be commercially sensitive.
0.5μg-4μg antibody for 200μg-400μg extracts of whole cells
ELISA
Recommended starting concentration is 1 μg/mL. Please optimize the concentration based on your specific assay requirements.
Synonyms:
FBP, FUBP, hDH V, FUBP1
Positive Sample:
U-87MG, HeLa, HepG2, THP-1, Mouse brain
Cellular Localization:
Nucleus.
Calculated MW:
68kDa
Observed MW:
79kDa
The protein encoded by this gene is a single stranded DNA-binding protein that binds to multiple DNA elements, including the far upstream element (FUSE) located upstream of c-myc. Binding to FUSE occurs on the non-coding strand, and is important to the regulation of c-myc in undifferentiated cells. This protein contains three domains, an amphipathic helix N-terminal domain, a DNA-binding central domain, and a C-terminal transactivation domain that contains three tyrosine-rich motifs. The N-terminal domain is thought to repress the activity of the C-terminal domain. This protein is also thought to bind RNA, and contains 3'-5' helicase activity with in vitro activity on both DNA-DNA and RNA-RNA duplexes. Aberrant expression of this gene has been found in malignant tissues, and this gene is important to neural system and lung development. Binding of this protein to viral RNA is thought to play a role in several viral diseases, including hepatitis C and hand, foot and mouth disease. Alternative splicing results in multiple transcript variants.
Purification Method
Affinity purification
Gene ID
8880
RRID
AB_2766359
Buffer Information
Store at -20℃. Avoid freeze / thaw cycles. Buffer: PBS containing 50% glycerol, preserved with proclin300 or sodium azide, pH 7.3.
Western blot analysis of various lysates using FUBP1 Rabbit pAb (CAB5587) at 1:1000 dilution. Secondary antibody: HRP-conjugated Goat anti-Rabbit IgG (H+L) (CABS014) at 1:10000 dilution. Lysates/proteins: 25μg per lane. Blocking buffer: 3% nonfat dry milk in TBST. Detection: ECL Enhanced Kit (AbGn00021). Exposure time: 90s.
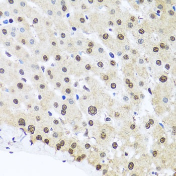
Immunohistochemistry analysis of paraffin-embedded Human liver damage using FUBP1 Rabbit pAb (CAB5587) at dilution of 1:100 (40x lens). Microwave antigen retrieval performed with 0.01M PBS Buffer (pH 7.2) prior to IHC staining.
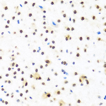
Immunohistochemistry analysis of paraffin-embedded Mouse brain using FUBP1 Rabbit pAb (CAB5587) at dilution of 1:100 (40x lens). Microwave antigen retrieval performed with 0.01M PBS Buffer (pH 7.2) prior to IHC staining.
Immunofluorescence analysis of C6 cells using FUBP1 Rabbit pAb (CAB5587) at dilution of 1:100. Secondary antibody: Cy3-conjugated Goat anti-Rabbit IgG (H+L) (CABS007) at 1:500 dilution. Blue: DAPI for nuclear staining.