The GAS2 Antibody (CAB1168) is a high-quality antibody developed for reliable detection and analysis of target proteins. This antibody, produced in rabbits, exhibits high specificity and sensitivity towards human samples, making it ideal for use in Western blot applications. By binding to the GAS2 protein, researchers can accurately detect and quantify its expression in various cell types, facilitating studies in cell biology, cancer research, and drug development.GAS2 is known for its role in regulating cell division, migration, and shape through its interaction with actin filaments and microtubules. Dysregulation of GAS2 expression has been linked to cancer progression, making it a promising target for anti-cancer therapies.
This antibody is validated for use in WB, IHC-P, ELISA applications and has demonstrated reactivity against Human, Mouse samples.
Product Name:
GAS2 Antibody
SKU:
CAB1168
Size:
20μL, 100μL
Reactivity:
Human, Mouse
Conjugate:
Unconjugated
Immunogen:
Recombinant protein (or fragment).This information is considered to be commercially sensitive.
The protein encoded by this gene is a caspase-3 substrate that plays a role in regulating microfilament and cell shape changes during apoptosis. It can also modulate cell susceptibility to p53-dependent apoptosis by inhibiting calpain activity. Alternative splicing results in multiple transcript variants.
Purification Method
Affinity purification
Gene ID
2620
RRID
AB_2758683
Buffer Information
Store at -20℃. Avoid freeze / thaw cycles. Buffer: PBS containing 50% glycerol, preserved with proclin300 or sodium azide, pH 7.3.
Western blot analysis of various lysates using GAS2 Rabbit pAb (CAB1168) at 1:1000 dilution. Secondary antibody: HRP-conjugated Goat anti-Rabbit IgG (H+L) (CABS014) at 1:10000 dilution. Lysates/proteins: 25μg per lane. Blocking buffer: 3% nonfat dry milk in TBST.
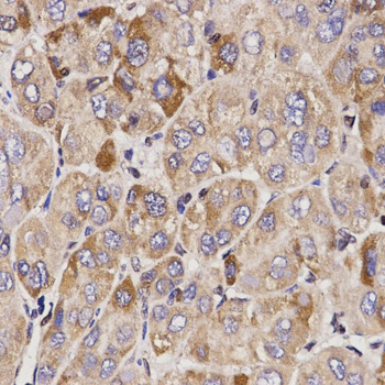
Immunohistochemistry analysis of paraffin-embedded Human liver cancer using GAS2 Rabbit pAb (CAB1168) at dilution of 1:200 (40x lens). Microwave antigen retrieval performed with 0.01M PBS Buffer (pH 7.2) prior to IHC staining.