The GDAP1 Antibody (CAB6601) is a high-quality antibody developed for reliable detection and analysis of target proteins. This gene encodes a member of the ganglioside-induced differentiation-associated protein family, which may play a role in a signal transduction pathway during neuronal development. Mutations in this gene have been associated with various forms of Charcot-Marie-Tooth Disease and neuropathy. Two transcript variants encoding different isoforms and a noncoding variant have been identified for this gene.
This antibody is validated for use in WB, IHC-P, ELISA applications and has demonstrated reactivity against Human, Mouse, Rat samples.
Product Name:
GDAP1 Antibody
SKU:
CAB6601
Size:
100μL, 20μL
Reactivity:
Human, Mouse, Rat
Conjugate:
Unconjugated
Immunogen:
Recombinant protein (or fragment).This information is considered to be commercially sensitive.
Tested Applications:
WBIHC-PELISA
Recommended Dilution:
WB
1:500 - 1:2000
IHC-P
1:50 - 1:200
ELISA
Recommended starting concentration is 1 μg/mL. Please optimize the concentration based on your specific assay requirements.
Synonyms:
CMT4, CMT4A, CMTRIA, GDAP1
Positive Sample:
MCF7, HepG2, Mouse brain, Mouse spinal cord, Rat brain
This gene encodes a member of the ganglioside-induced differentiation-associated protein family, which may play a role in a signal transduction pathway during neuronal development. Mutations in this gene have been associated with various forms of Charcot-Marie-Tooth Disease and neuropathy. Two transcript variants encoding different isoforms and a noncoding variant have been identified for this gene.
Purification Method
Affinity purification
Gene ID
54332
RRID
AB_2767192
Buffer Information
Store at -20℃. Avoid freeze / thaw cycles. Buffer: PBS containing 50% glycerol, preserved with proclin300 or sodium azide, pH 7.3.
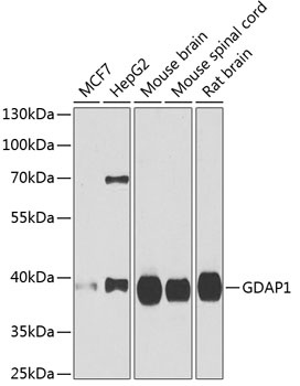
Western blot analysis of various lysates using GDAP1 Rabbit pAb (CAB6601) at 1:1000 dilution. Secondary antibody: HRP-conjugated Goat anti-Rabbit IgG (H+L) (AS014) at 1:10000 dilution. Lysates/proteins: 25μg per lane. Blocking buffer: 3% nonfat dry milk in TBST. Detection: ECL Basic Kit (AbGn00020). Exposure time: 90s.
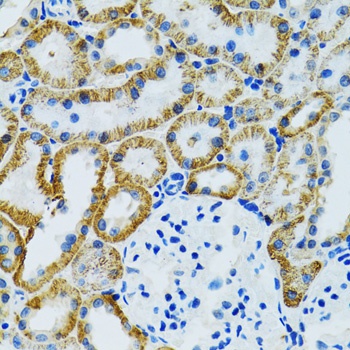
Immunohistochemistry analysis of paraffin-embedded Rat kidney using GDAP1 Rabbit pAb (CAB6601) at dilution of 1:100 (40x lens). Microwave antigen retrieval performed with 0.01M PBS Buffer (pH 7.2) prior to IHC staining.
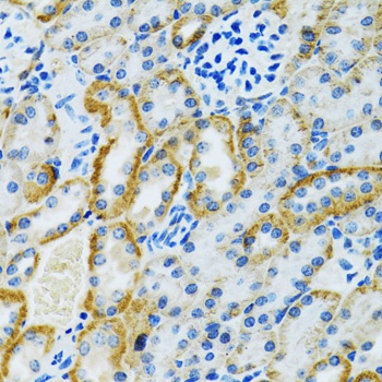
Immunohistochemistry analysis of paraffin-embedded Mouse kidney using GDAP1 Rabbit pAb (CAB6601) at dilution of 1:100 (40x lens). Microwave antigen retrieval performed with 0.01M PBS Buffer (pH 7.2) prior to IHC staining.