The GDI1 Antibody (CAB5462) is a high-quality antibody developed for reliable detection and analysis of target proteins. This antibody, produced in rabbits, exhibits strong reactivity with human samples and has been validated for use in Western blot applications. By specifically targeting the GDI1 protein, researchers can accurately detect and analyze its expression in various cell types, offering valuable insights into cellular processes related to membrane dynamics and cellular signaling pathways.GDI1, also known as GDP dissociation inhibitor 1, plays a crucial role in regulating the release of GDP-bound GTPases from intracellular membranes, thereby modulating their activity and function. Its involvement in membrane trafficking and signal transduction makes it a key player in cellular processes such as vesicle transport, membrane fusion, and protein targeting.
This antibody is validated for use in WB, ELISA applications and has demonstrated reactivity against Human, Mouse samples.
Product Name:
GDI1 Antibody
SKU:
CAB5462
Size:
20μL, 100μL
Reactivity:
Human, Mouse
Conjugate:
Unconjugated
Immunogen:
Recombinant protein (or fragment).This information is considered to be commercially sensitive.
GDP dissociation inhibitors are proteins that regulate the GDP-GTP exchange reaction of members of the rab family, small GTP-binding proteins of the ras superfamily, that are involved in vesicular trafficking of molecules between cellular organelles. GDIs slow the rate of dissociation of GDP from rab proteins and release GDP from membrane-bound rabs. GDI1 is expressed primarily in neural and sensory tissues. Mutations in GDI1 have been linked to X-linked nonspecific cognitive disability.
Purification Method
Affinity purification
Gene ID
2664
RRID
AB_2766263
Buffer Information
Store at -20℃. Avoid freeze / thaw cycles. Buffer: PBS containing 50% glycerol, preserved with proclin300 or sodium azide, pH 7.3.
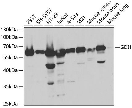
Western blot analysis of various lysates using GDI1 Rabbit pAb (CAB5462) at 1:1000 dilution. Secondary antibody: HRP-conjugated Goat anti-Rabbit IgG (H+L) (CABS014) at 1:10000 dilution. Lysates/proteins: 25μg per lane. Blocking buffer: 3% nonfat dry milk in TBST. Detection: ECL Basic Kit (AbGn00020). Exposure time: 5s.