The GMFB Antibody (CAB8652) is a high-quality antibody developed for reliable detection and analysis of target proteins. This antibody, produced in rabbits, is highly specific and reacts well with human samples, making it ideal for use in Western blotting and immunohistochemistry applications.GMFB, also known as Glia Maturation Factor Beta, plays a crucial role in various cellular processes, including neuronal development and synaptic plasticity. Dysregulation of GMFB has been associated with neurological disorders, making it an important target for further investigation in neuroscience research.
This antibody is validated for use in WB, IF/ICC, ELISA applications and has demonstrated reactivity against Human, Mouse, Rat samples.
Product Name:
GMFB Antibody
SKU:
CAB8652
Size:
20μL, 100μL
Reactivity:
Human, Mouse, Rat
Conjugate:
Unconjugated
Immunogen:
Recombinant protein (or fragment).This information is considered to be commercially sensitive.
Predicted to enable Arp2/3 complex binding activity. Predicted to be involved in actin filament debranching and negative regulation of Arp2/3 complex-mediated actin nucleation. Predicted to act upstream of or within learning and locomotory behavior.
Purification Method
Affinity purification
Gene ID
2764
RRID
AB_2769627
Buffer Information
Store at -20℃. Avoid freeze / thaw cycles. Buffer: PBS containing 50% glycerol, preserved with proclin300 or sodium azide, pH 7.3.
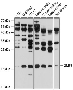
Western blot analysis of various lysates using GMFB Rabbit pAb (CAB8652) at 1:1000 dilution. Secondary antibody: HRP-conjugated Goat anti-Rabbit IgG (H+L) (CABS014) at 1:10000 dilution. Lysates/proteins: 25μg per lane. Blocking buffer: 3% nonfat dry milk in TBST. Detection: ECL Basic Kit (AbGn00020). Exposure time: 30s.
Immunofluorescence analysis of C6 cells using GMFB Rabbit pAb (CAB8652) at dilution of 1:100 (40x lens). Secondary antibody: Cy3-conjugated Goat anti-Rabbit IgG (H+L) (CABS007) at 1:500 dilution. Blue: DAPI for nuclear staining.
Immunofluorescence analysis of U-2 OS cells using GMFB Rabbit pAb (CAB8652) at dilution of 1:100 (40x lens). Secondary antibody: Cy3-conjugated Goat anti-Rabbit IgG (H+L) (CABS007) at 1:500 dilution. Blue: DAPI for nuclear staining.