The GOLGA5 Antibody (CAB15768) is a high-quality antibody developed for reliable detection and analysis of target proteins. The antibody, generated in rabbits, is highly reactive with human samples and has been validated for use in various applications, including Western blotting.GOLGA5 is involved in the maintenance of Golgi morphology and protein transport, making it a key player in cellular processes such as protein sorting and secretion.
This antibody is validated for use in WB, IF/ICC, ELISA applications and has demonstrated reactivity against Human, Mouse, Rat samples.
Product Name:
GOLGA5 Antibody
SKU:
CAB15768
Size:
20μL, 100μL
Reactivity:
Human, Mouse, Rat
Conjugate:
Unconjugated
Immunogen:
Recombinant protein (or fragment).This information is considered to be commercially sensitive.
Golgi Apparatus Membrane, Single-Pass Type Iv Membrane Protein.
Calculated MW:
83kDa
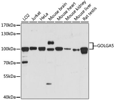
Observed MW:
100kDa,115kDa
The Golgi apparatus, which participates in glycosylation and transport of proteins and lipids in the secretory pathway, consists of a series of stacked cisternae (flattened membrane sacs). Interactions between the Golgi and microtubules are thought to be important for the reorganization of the Golgi after it fragments during mitosis. This gene encodes one of the golgins, a family of proteins localized to the Golgi. This protein is a coiled-coil membrane protein that has been postulated to play a role in vesicle tethering and docking. Translocations involving this gene and the ret proto-oncogene have been found in tumor tissues; the chimeric sequences have been designated RET-II and PTC5. A pseudogene of this gene is located on the short arm of chromosome 5.
Purification Method
Affinity purification
Gene ID
9950
RRID
AB_2763186
Buffer Information
Store at -20℃. Avoid freeze / thaw cycles. Buffer: PBS with 0.01% thimerosal,50% glycerol,pH7.3.
Western blot analysis of various lysates using GOLGA5 Rabbit pAb (CAB15768) at 1:1000 dilution. Secondary antibody: HRP-conjugated Goat anti-Rabbit IgG (H+L) (CABS014) at 1:10000 dilution. Lysates/proteins: 25μg per lane. Blocking buffer: 3% nonfat dry milk in TBST. Detection: ECL Basic Kit (AbGn00020). Exposure time: 60s.
Immunofluorescence analysis of C6 cells using GOLGA5 Rabbit pAb (CAB15768) at dilution of 1:100. Secondary antibody: Cy3-conjugated Goat anti-Rabbit IgG (H+L) (CABS007) at 1:500 dilution. Blue: DAPI for nuclear staining.