The GOT1 Antibody (CAB5822) is a high-quality antibody developed for reliable detection and analysis of target proteins. GOT1, also known as glutamic-oxaloacetic transaminase 1, is an enzyme involved in amino acid metabolism and the production of energy in cells. This antibody, raised in rabbits, is highly specific to human samples and has been validated for use in Western blot applications.By binding to the GOT1 protein, this antibody allows for the detection and analysis of GOT1 expression in various cell types, making it ideal for studies in biochemistry and cancer research.
This antibody is validated for use in WB, IHC-P, IF/ICC, ELISA applications and has demonstrated reactivity against Human, Mouse, Rat samples.
Product Name:
GOT1 Antibody
SKU:
CAB5822
Size:
20μL, 100μL
Reactivity:
Human, Mouse, Rat
Conjugate:
Unconjugated
Immunogen:
Recombinant protein (or fragment).This information is considered to be commercially sensitive.
HepG2, Mouse brain, Mouse liver, Mouse heart, Rat brain, Rat liver
Cellular Localization:
Cytoplasm.
Calculated MW:
46kDa
Observed MW:
41kDa
Glutamic-oxaloacetic transaminase is a pyridoxal phosphate-dependent enzyme which exists in cytoplasmic and mitochondrial forms, GOT1 and GOT2, respectively. GOT plays a role in amino acid metabolism and the urea and tricarboxylic acid cycles. The two enzymes are homodimeric and show close homology.
Purification Method
Affinity purification
Gene ID
2805
RRID
AB_2766574
Buffer Information
Store at -20℃. Avoid freeze / thaw cycles. Buffer: PBS containing 50% glycerol, preserved with proclin300 or sodium azide, pH 7.3.
Western blot analysis of various lysates using GOT1 Rabbit pAb (CAB5822) at 1:1000 dilution. Secondary antibody: HRP-conjugated Goat anti-Rabbit IgG (H+L) (CABS014) at 1:10000 dilution. Lysates/proteins: 25μg per lane. Blocking buffer: 3% nonfat dry milk in TBST. Detection: ECL Basic Kit (AbGn00020). Exposure time: 5s.
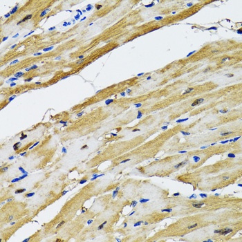
Immunohistochemistry analysis of paraffin-embedded Rat heart using GOT1 Rabbit pAb (CAB5822) at dilution of 1:100 (40x lens). Microwave antigen retrieval performed with 0.01M PBS Buffer (pH 7.2) prior to IHC staining.
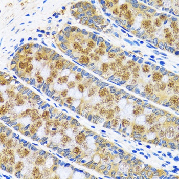
Immunohistochemistry analysis of paraffin-embedded Human colon using GOT1 Rabbit pAb (CAB5822) at dilution of 1:100 (40x lens). Microwave antigen retrieval performed with 0.01M PBS Buffer (pH 7.2) prior to IHC staining.
Immunofluorescence analysis of U2OS cells using GOT1 Rabbit pAb (CAB5822). Secondary antibody: Cy3-conjugated Goat anti-Rabbit IgG (H+L) (CABS007) at 1:500 dilution. Blue: DAPI for nuclear staining.