The GPR173 Antibody (CAB14897) is a high-quality antibody developed for reliable detection and analysis of target proteins. This antibody, generated in rabbits, is highly specific to human samples and has been validated for use in Western blot applications.GPR173 is involved in various physiological processes, including the regulation of feeding behavior, energy homeostasis, and reproductive function. Dysregulation of GPR173 has been linked to metabolic disorders, obesity, and reproductive abnormalities, making it a promising target for drug development and disease research.
This antibody is validated for use in WB, ELISA applications and has demonstrated reactivity against Human, Mouse samples.
Product Name:
GPR173 Antibody
SKU:
CAB14897
Size:
20μL, 100μL
Reactivity:
Human, Mouse
Conjugate:
Unconjugated
Immunogen:
Recombinant protein (or fragment).This information is considered to be commercially sensitive.
Recommended starting concentration is 1 μg/mL. Please optimize the concentration based on your specific assay requirements.
Synonyms:
SREB3, GPR173
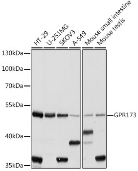
Positive Sample:
HT-29, U-251MG, SKOV3, A-549, Mouse small intestine, Mouse testis
Cellular Localization:
Cell Membrane, Multi-Pass Membrane Protein.
Calculated MW:
41kDa
Observed MW:
53kDa
This gene encodes a member of the G-protein coupled receptor 1 family. This protein contains 7 transmembrane domains and conserved cysteine residues.
Purification Method
Affinity purification
Gene ID
54328
RRID
AB_2761777
Buffer Information
Store at -20℃. Avoid freeze / thaw cycles. Buffer: PBS with 0.01% thimerosal,50% glycerol,pH7.3.
Western blot analysis of various lysates using GPR173 Rabbit pAb (CAB14897) at 1:1000 dilution. Secondary antibody: HRP-conjugated Goat anti-Rabbit IgG (H+L) (CABS014) at 1:10000 dilution. Lysates/proteins: 25μg per lane. Blocking buffer: 3% nonfat dry milk in TBST. Detection: ECL Basic Kit (AbGn00020). Exposure time: 10s.