The GRPEL1 Antibody (CAB4999) is a high-quality antibody developed for reliable detection and analysis of target proteins. This antibody, produced in rabbits, exhibits high reactivity with human samples and has been validated for use in Western blot applications. By binding to the GRPEL1 protein, this antibody enables accurate detection and analysis in a variety of cell types, making it a valuable tool for studies in mitochondrial biology and oxidative phosphorylation research.GRPEL1, also known as mitochondrial chaperone GRPE-like 1, plays a crucial role in maintaining mitochondrial protein homeostasis and assisting in the folding of newly synthesized proteins within the organelle.
This antibody is validated for use in WB, IHC-P, IF/ICC, ELISA applications and has demonstrated reactivity against Human, Mouse, Rat samples.
Product Name:
GRPEL1 Antibody
SKU:
CAB4999
Size:
20μL, 100μL
Reactivity:
Human, Mouse, Rat
Conjugate:
Unconjugated
Immunogen:
Recombinant protein (or fragment).This information is considered to be commercially sensitive.
Recommended starting concentration is 1 μg/mL. Please optimize the concentration based on your specific assay requirements.
Synonyms:
GrpE, HMGE, mt-GrpE#1, GRPEL1
Positive Sample:
Mouse liver
Cellular Localization:
Mitochondrion Matrix.
Calculated MW:
24kDa
Observed MW:
24kDa
Enables identical protein binding activity and unfolded protein binding activity. Predicted to be involved in protein import into mitochondrial matrix. Located in mitochondrial matrix and nucleoplasm.
Purification Method
Affinity purification
Gene ID
80273
RRID
AB_2765980
Buffer Information
Store at -20℃. Avoid freeze / thaw cycles. Buffer: PBS containing 50% glycerol, preserved with proclin300 or sodium azide, pH 7.3.
Western blot analysis of lysates from Mouse liver, using GRPEL1 Rabbit pAb (CAB4999) at 1:1000 dilution. Secondary antibody: HRP-conjugated Goat anti-Rabbit IgG (H+L) (CABS014) at 1:10000 dilution. Lysates/proteins: 25μg per lane. Blocking buffer: 3% nonfat dry milk in TBST. Detection: ECL Basic Kit (AbGn00020). Exposure time: 60s.
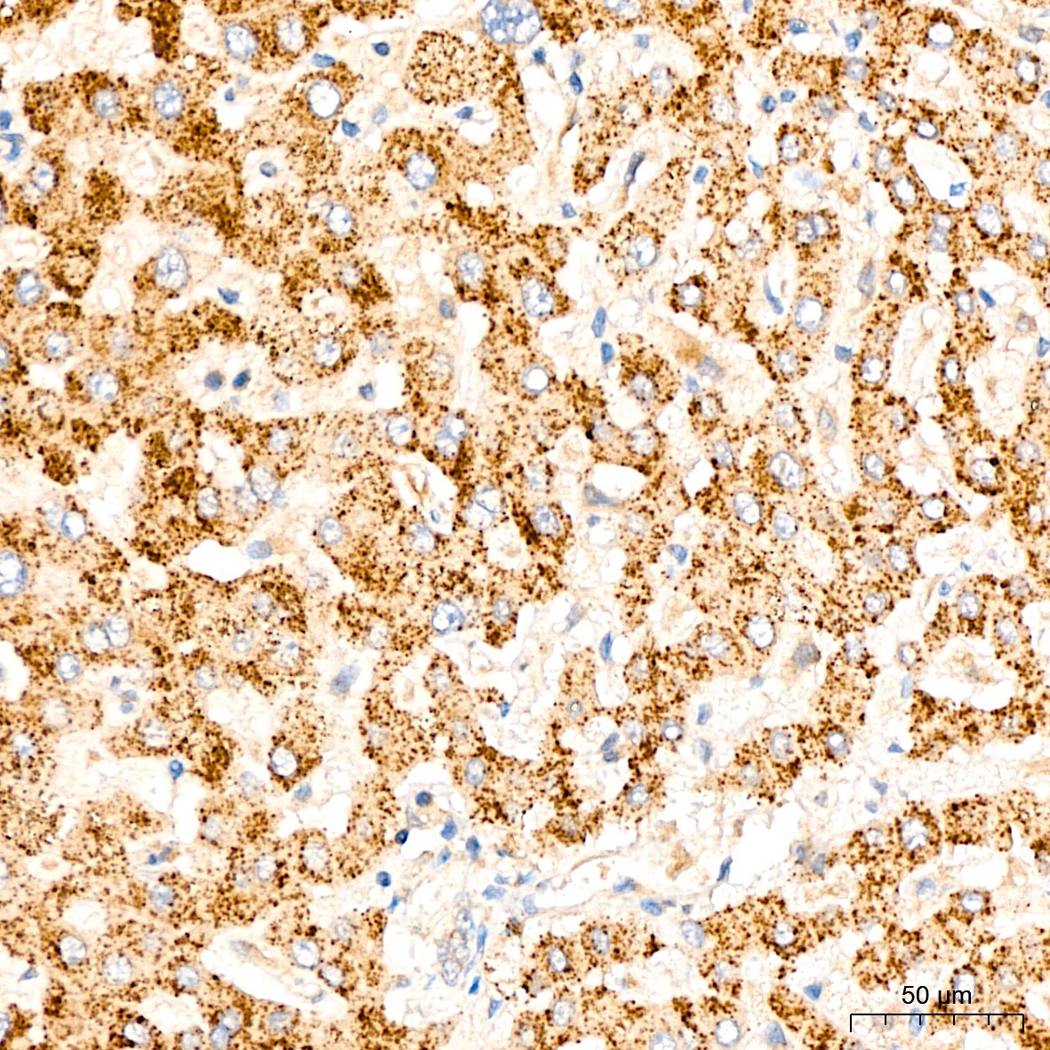
Immunohistochemistry analysis of paraffin-embedded Human liver tissue using GRPEL1 Rabbit pAb (CAB4999) at a dilution of 1:100 (40x lens). High pressure antigen retrieval was performed with 0.01 M citrate buffer (pH 6.0) prior to IHC staining.
Immunofluorescence analysis of HepG2 cells using GRPEL1 Rabbit pAb (CAB4999) at dilution of 1:100 (40x lens). Secondary antibody: Cy3-conjugated Goat anti-Rabbit IgG (H+L) (CABS007) at 1:500 dilution. Blue: DAPI for nuclear staining.