The Histone H2AFV Antibody (CAB17813) is a high-quality antibody developed for reliable detection and analysis of target proteins. This antibody, raised in rabbits, exhibits high reactivity with human samples and is validated for use in Western blot applications. By binding specifically to the H2AFV protein, researchers can easily detect and analyze its expression in different cell types, making it ideal for studies in epigenetics, gene regulation, and cancer research.H2A.V is a histone variant that is incorporated into nucleosomes and contributes to the dynamic regulation of chromatin structure, ultimately influencing gene transcription and cellular processes.
This antibody is validated for use in WB, IHC-P, IF/ICC, ELISA applications and has demonstrated reactivity against Human, Mouse, Rat samples.
Product Name:
Histone H2AFV Antibody
SKU:
CAB17813
Size:
20μL, 100μL
Reactivity:
Human, Mouse, Rat
Conjugate:
Unconjugated
Immunogen:
Recombinant protein (or fragment).This information is considered to be commercially sensitive.
Recommended starting concentration is 1 μg/mL. Please optimize the concentration based on your specific assay requirements.
Synonyms:
H2AV, H2AFV, H2A.Z-2, Histone H2AFV
Positive Sample:
293T, A-431, Mouse thymus, Mouse spleen, Rat thymus, Rat lung
Cellular Localization:
Extracellular Exosome, Nucleus.
Calculated MW:
13kDa
Observed MW:
14kDa
Histones are basic nuclear proteins that are responsible for the nucleosome structure of the chromosomal fiber in eukaryotes. Nucleosomes consist of approximately 146 bp of DNA wrapped around a histone octamer composed of pairs of each of the four core histones (H2A, H2B, H3, and H4). The chromatin fiber is further compacted through the interaction of a linker histone, H1, with the DNA between the nucleosomes to form higher order chromatin structures. This gene encodes a replication-independent histone that is a member of the histone H2A family. Several transcript variants encoding different isoforms, have been identified for this gene.
Purification Method
Affinity purification
Gene ID
94239
RRID
AB_2769725
Buffer Information
Store at -20℃. Avoid freeze / thaw cycles. Buffer: PBS with 0.01% thimerosal,50% glycerol,pH7.3.
Western blot analysis of various lysates using Histone H2AFV Rabbit pAb (CAB17813) at 1:1000 dilution. Secondary antibody: HRP-conjugated Goat anti-Rabbit IgG (H+L) (CABS014) at 1:10000 dilution. Lysates/proteins: 25μg per lane. Blocking buffer: 3% nonfat dry milk in TBST. Detection: ECL Basic Kit (AbGn00020). Exposure time: 90s.
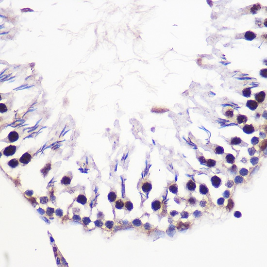
Immunohistochemistry analysis of paraffin-embedded Rat testis using Histone H2AFV Rabbit pAb (CAB17813) at dilution of 1:100 (40x lens). Microwave antigen retrieval performed with 0.01M PBS Buffer (pH 7.2) prior to IHC staining.
Immunofluorescence analysis of L929 cells using Histone H2AFV Rabbit pAb (CAB17813) at dilution of 1:100. Secondary antibody: Cy3-conjugated Goat anti-Rabbit IgG (H+L) (CABS007) at 1:500 dilution. Blue: DAPI for nuclear staining.
Immunofluorescence analysis of U-2 OS cells using Histone H2AFV Rabbit pAb (CAB17813) at dilution of 1:100. Secondary antibody: Cy3-conjugated Goat anti-Rabbit IgG (H+L) (CABS007) at 1:500 dilution. Blue: DAPI for nuclear staining.