The HCLS1 Antibody (CAB2165) is a high-quality antibody developed for reliable detection and analysis of target proteins. This antibody, raised in rabbits, specifically targets HCLS1 in human samples and is validated for use in Western blot applications. By binding to the HCLS1 protein, this antibody enables the detection and analysis of HCLS1 in a variety of cell types.HCLS1 is a key player in immune cell signaling, regulating pathways that control cell activation and proliferation. Its involvement in immune responses makes it a target of interest in studies related to immunology and cancer research.
This antibody is validated for use in WB, IHC-P, ELISA applications and has demonstrated reactivity against Human, Mouse samples.
Product Name:
HCLS1 Antibody
SKU:
CAB2165
Size:
20μL, 100μL
Reactivity:
Human, Mouse
Conjugate:
Unconjugated
Immunogen:
Recombinant protein (or fragment).This information is considered to be commercially sensitive.
Enables RNA polymerase II-specific DNA-binding transcription factor binding activity and protein kinase binding activity. Involved in several processes, including positive regulation of intracellular signal transduction; positive regulation of protein phosphorylation; and regulation of transcription, DNA-templated. Located in cytosol; nucleus; and plasma membrane. Part of transcription regulator complex.
Purification Method
Affinity purification
Gene ID
3059
RRID
AB_2764183
Buffer Information
Store at -20℃. Avoid freeze / thaw cycles. Buffer: PBS containing 50% glycerol, preserved with proclin300 or sodium azide, pH 7.3.
Western blot analysis of various lysates using HCLS1 Rabbit pAb (CAB2165) at 1:1000 dilution. Secondary antibody: HRP-conjugated Goat anti-Rabbit IgG (H+L) (CABS014) at 1:10000 dilution. Lysates/proteins: 25μg per lane. Blocking buffer: 3% nonfat dry milk in TBST.
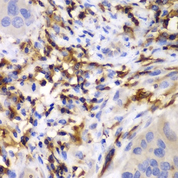
Immunohistochemistry analysis of paraffin-embedded Human liver cancer using HCLS1 Rabbit pAb (CAB2165) at dilution of 1:100 (40x lens). Microwave antigen retrieval performed with 0.01M PBS Buffer (pH 7.2) prior to IHC staining.
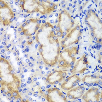
Immunohistochemistry analysis of paraffin-embedded Mouse kidney using HCLS1 Rabbit pAb (CAB2165) at dilution of 1:100 (40x lens). Microwave antigen retrieval performed with 0.01M PBS Buffer (pH 7.2) prior to IHC staining.