The HPRT1 Monoclonal Antibody (CAB8783) is a high-quality antibody developed for reliable detection and analysis of target proteins. The antibody, generated in rabbits, is validated for use in various applications, including immunohistochemistry and Western blot analysis. It binds specifically to the HPRT protein, allowing for accurate detection and analysis in a wide range of sample types.HPRT is essential for maintaining cellular levels of purine nucleotides, which are necessary for various cellular processes such as DNA and RNA synthesis.
This antibody is validated for use in WB, ELISA applications and has demonstrated reactivity against Human, Mouse, Rat samples.
Product Name:
HPRT1 Monoclonal Antibody
SKU:
CAB8783
Size:
20μL, 100μL
Reactivity:
Human, Mouse, Rat
Clone Number:
ARC1300
Conjugate:
Unconjugated
Immunogen:
Synthetic peptide. This information is considered to be commercially sensitive.
Recommended starting concentration is 1 μg/mL. Please optimize the concentration based on your specific assay requirements.
Synonyms:
HPRT, HGPRT, T1
Positive Sample:
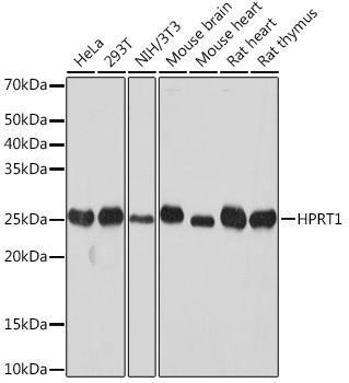
HeLa, 293T, NIH/3T3, Mouse brain, Mouse heart, Rat heart, Rat thymus
Cellular Localization:
Cytoplasm.
Calculated MW:
25kDa
Observed MW:
25kDa
The protein encoded by this gene is a transferase, which catalyzes conversion of hypoxanthine to inosine monophosphate and guanine to guanosine monophosphate via transfer of the 5-phosphoribosyl group from 5-phosphoribosyl 1-pyrophosphate. This enzyme plays a central role in the generation of purine nucleotides through the purine salvage pathway. Mutations in this gene result in Lesch-Nyhan syndrome or gout.
Purification Method
Affinity purification
Gene ID
3251
RRID
AB_2863608
Buffer Information
Store at -20℃. Avoid freeze / thaw cycles. Buffer: PBS containing 50% glycerol and 0.05% BSA, preserved with proclin300 or sodium azide, pH 7.3.
Western blot analysis of various lysates using HPRT11 Rabbit mAb (CAB8783) at 1:1000 dilution. Secondary antibody: HRP-conjugated Goat anti-Rabbit IgG (H+L) (CABS014) at 1:10000 dilution. Lysates/proteins: 25μg per lane. Blocking buffer: 3% nonfat dry milk in TBST. Detection: ECL Basic Kit (AbGn00020). Exposure time: 10s.
Western blot analysis of lysates from wild type(WT) and HPRT1 knockout (KO) 293T cells, using [KO Validated] HPRT1 Rabbit mAb (CAB8783) at 1:1000 dilution. Secondary antibody: HRP-conjugated Goat anti-Rabbit IgG (H+L) (CABS014) at 1:10000 dilution. Lysates/proteins: 25μg per lane. Blocking buffer: 3% nonfat dry milk in TBST. Detection: ECL Basic Kit (AbGn00020). Exposure time: 5s.