The [KO Validated] HPRT1 Antibody (CAB5692) is a high-quality antibody developed for reliable detection and analysis of target proteins. This enzyme plays a crucial role in the salvage pathway of purine synthesis, making it essential for DNA replication and repair in cells. Raised in rabbits, this antibody demonstrates high reactivity with human samples and has been validated for use in Western blot applications. It specifically binds to the HPRT1 protein, enabling accurate detection and analysis in various cell types.
This antibody is validated for use in WB, ELISA applications and has demonstrated reactivity against Human, Mouse, Rat samples.
Product Name:
[KO Validated] HPRT1 Antibody
SKU:
CAB5692
Size:
20μL, 100μL
Reactivity:
Human, Mouse, Rat
Conjugate:
Unconjugated
Immunogen:
Recombinant protein (or fragment).This information is considered to be commercially sensitive.
The protein encoded by this gene is a transferase, which catalyzes conversion of hypoxanthine to inosine monophosphate and guanine to guanosine monophosphate via transfer of the 5-phosphoribosyl group from 5-phosphoribosyl 1-pyrophosphate. This enzyme plays a central role in the generation of purine nucleotides through the purine salvage pathway. Mutations in this gene result in Lesch-Nyhan syndrome or gout.
Purification Method
Affinity purification
Gene ID
3251
RRID
AB_2863513
Buffer Information
Store at -20℃. Avoid freeze / thaw cycles. Buffer: PBS containing 50% glycerol, preserved with proclin300 or sodium azide, pH 7.3.
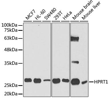
Western blot analysis of various lysates using [KO Validated] HPRT1 Rabbit pAb (CAB5692) at 1:1000 dilution. Secondary antibody: HRP-conjugated Goat anti-Rabbit IgG (H+L) (CABS014) at 1:10000 dilution. Lysates/proteins: 25μg per lane. Blocking buffer: 3% nonfat dry milk in TBST. Detection: ECL Basic Kit (AbGn00020). Exposure time: 60s.
Western blot analysis of lysates from wild type (WT) and HPRT1 knockout (KO) 293T cells, using [KO Validated] HPRT1 Rabbit pAb (CAB5692) at 1:1000 dilution. Secondary antibody: HRP-conjugated Goat anti-Rabbit IgG (H+L) (CABS014) at 1:10000 dilution. Lysates/proteins: 25μg per lane. Blocking buffer: 3% nonfat dry milk in TBST. Detection: ECL Basic Kit (AbGn00020). Exposure time: 5s.