The HPSE2 Antibody (CAB8248) is a high-quality antibody developed for reliable detection and analysis of target proteins. This antibody, produced in rabbits, exhibits high specificity and sensitivity when used with human samples, making it a reliable choice for experiments involving Western blot analysis.HPSE2 is involved in the breakdown of heparan sulfate proteoglycans, molecules that are key components of the extracellular matrix and play a crucial role in cell signaling and adhesion. Dysregulation of HPSE2 has been linked to various diseases, including cancer, inflammation, and fibrosis.
This antibody is validated for use in WB, IHC-P, ELISA applications and has demonstrated reactivity against Human, Mouse, Rat samples.
Product Name:
HPSE2 Antibody
SKU:
CAB8248
Size:
20μL, 100μL
Reactivity:
Human, Mouse, Rat
Conjugate:
Unconjugated
Immunogen:
Recombinant protein (or fragment).This information is considered to be commercially sensitive.
This gene encodes a heparanase enzyme. The encoded protein is a endoglycosidase that degrades heparin sulfate proteoglycans located on the extracellular matrix and cell surface. This protein may be involved in biological processes involving remodeling of the extracellular matrix including angiogenesis and tumor progression. Alternate splicing results in multiple transcript variants.
Purification Method
Affinity purification
Gene ID
60495
RRID
AB_2769841
Buffer Information
Store at -20℃. Avoid freeze / thaw cycles. Buffer: PBS with 0.02% sodium azide,50% glycerol,pH7.3.
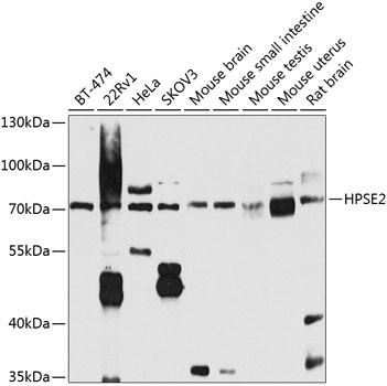
Western blot analysis of various lysates using HPSE2 Rabbit pAb (CAB8248) at 1:1000 dilution. Secondary antibody: HRP-conjugated Goat anti-Rabbit IgG (H+L) (CABS014) at 1:10000 dilution. Lysates/proteins: 25μg per lane. Blocking buffer: 3% nonfat dry milk in TBST. Detection: ECL Basic Kit (AbGn00020). Exposure time: 90s.
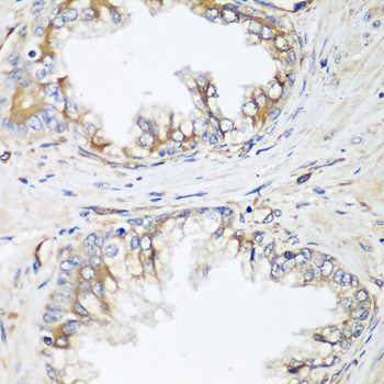
Immunohistochemistry analysis of paraffin-embedded Human prostate using HPSE2 Rabbit pAb (CAB8248) at dilution of 1:100 (40x lens). Microwave antigen retrieval performed with 0.01M PBS Buffer (pH 7.2) prior to IHC staining.