The HSD17B7 Antibody (CAB17157) is a high-quality antibody developed for reliable detection and analysis of target proteins. This antibody, generated in rabbits, has high specificity and sensitivity for detecting HSD17B7 in human samples. It has been validated for use in Western blot applications, allowing for precise detection and quantification of HSD17B7 expression in various cell types.HSD17B7 is a key enzyme in the synthesis of cholesterol and steroid hormones, playing a crucial role in lipid metabolism and hormone production.
This antibody is validated for use in WB, IHC-P, ELISA applications and has demonstrated reactivity against Human, Mouse samples.
Product Name:
HSD17B7 Antibody
SKU:
CAB17157
Size:
20μL, 100μL
Reactivity:
Human, Mouse
Immunogen:
Recombinant protein (or fragment).This information is considered to be commercially sensitive.
Recommended starting concentration is 1 μg/mL. Please optimize the concentration based on your specific assay requirements.
Synonyms:
PRAP, SDR37C1, HSD17B7
Positive Sample:
Mouse liver, Mouse ovary
Cellular Localization:
Cell Membrane, Single-Pass Membrane Protein.
Calculated MW:
38kDa
Observed MW:
38kDa
HSD17B7 encodes an enzyme that functions both as a 17-beta-hydroxysteroid dehydrogenase (EC 1.1.1.62) in the biosynthesis of sex steroids and as a 3-ketosteroid reductase (EC 1.1.1.270) in the biosynthesis of cholesterol (Marijanovic et al., 2003 [PubMed 12829805]).
Purification Method
Affinity purification
Gene ID
51478
RRID
AB_2769879
Buffer Information
Store at -20℃. Avoid freeze / thaw cycles. Buffer: PBS with 0.01% thimerosal,50% glycerol,pH7.3.
Western blot analysis of various lysates using HSD17B7 Rabbit pAb (CAB17157) at 1:1000 dilution. Secondary antibody: HRP-conjugated Goat anti-Rabbit IgG (H+L) (CABS014) at 1:10000 dilution. Lysates/proteins: 25μg per lane. Blocking buffer: 3% nonfat dry milk in TBST. Detection: ECL Basic Kit (AbGn00020). Exposure time: 5min.
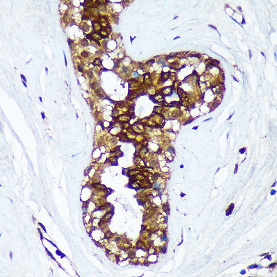
Immunohistochemistry analysis of paraffin-embedded Human breast cancer using HSD17B7 Rabbit pAb (CAB17157) at dilution of 1:100 (40x lens). Microwave antigen retrieval performed with 0.01M Tris/EDTA Buffer (pH 9.0) prior to IHC staining.