The [KO Validated] Hsp90beta Antibody (CAB1087) is a high-quality antibody developed for reliable detection and analysis of target proteins. This antibody, produced through rabbit immunization, exhibits high reactivity with human samples and has been validated for use in Western blot applications.HSP90AB1 is a key player in cellular stress responses, aiding in the stabilization and activation of client proteins under conditions of environmental stress. Its role in protein quality control and cellular protection makes it an intriguing target for studies in various fields, including cancer research and neurodegenerative diseases.
This antibody is validated for use in WB, IHC-P, ELISA applications and has demonstrated reactivity against Human, Mouse, Rat samples.
Product Name:
[KO Validated] Hsp90beta Antibody
SKU:
CAB1087
Size:
20μL, 100μL
Reactivity:
Human, Mouse, Rat
Conjugate:
Unconjugated
Immunogen:
Recombinant protein (or fragment).This information is considered to be commercially sensitive.
Recommended starting concentration is 1 μg/mL. Please optimize the concentration based on your specific assay requirements.
Synonyms:
HSP84, HSPC2, HSPCB, D6S182, HSP90B, 0β
Positive Sample:
K-562, DU145, SW620, COS-7, NIH/3T3, HeLa
Cellular Localization:
Cytoplasm, Melanosome.
Calculated MW:
83kDa
Observed MW:
80kDa
This gene encodes a member of the heat shock protein 90 family; these proteins are involved in signal transduction, protein folding and degradation and morphological evolution. This gene encodes the constitutive form of the cytosolic 90 kDa heat-shock protein and is thought to play a role in gastric apoptosis and inflammation. Alternative splicing results in multiple transcript variants. Pseudogenes have been identified on multiple chromosomes.
Purification Method
Affinity purification
Gene ID
3326
RRID
AB_2758283
Buffer Information
Store at -20℃. Avoid freeze / thaw cycles. Buffer: PBS containing 50% glycerol, preserved with proclin300 or sodium azide, pH 7.3.
Western blot analysis of lysates from wild type (WT) and Hsp90β knockout (KO) HeLa cells, using [KO Validated] Hsp90β Rabbit pAb (CAB1087) at 1:1000 dilution. Secondary antibody: HRP-conjugated Goat anti-Rabbit IgG (H+L) (CABS014) at 1:10000 dilution. Lysates/proteins: 25μg per lane. Blocking buffer: 3% nonfat dry milk in TBST. Detection: ECL Basic Kit (AbGn00020). Exposure time: 90s.
Immunohistochemistry analysis of paraffin-embedded Rat brain tissue using [KO Validated] Hsp90β Rabbit pAb (CAB1087) at a dilution of 1:100 (40x lens). High pressure antigen retrieval performed with 0.01M Citrate buffer (pH 6.0) prior to IHC staining.
Immunohistochemistry analysis of paraffin-embedded Rat testis tissue using [KO Validated] Hsp90β Rabbit pAb (CAB1087) at a dilution of 1:100 (40x lens). High pressure antigen retrieval performed with 0.01M Citrate buffer (pH 6.0) prior to IHC staining.
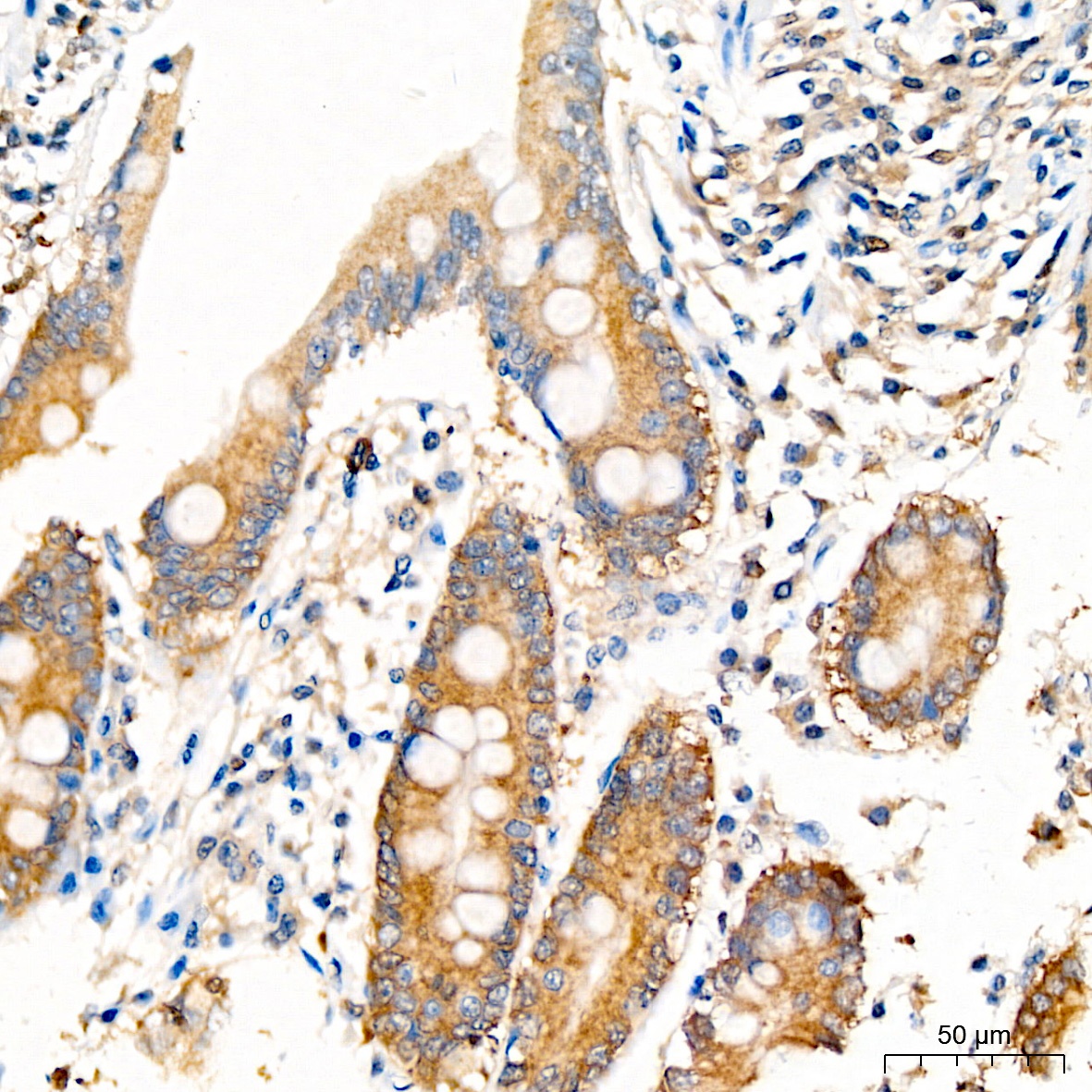
Immunohistochemistry analysis of paraffin-embedded Human small intestine tissue using [KO Validated] Hsp90β Rabbit pAb (CAB1087) at a dilution of 1:100 (40x lens). High pressure antigen retrieval performed with 0.01M Citrate buffer (pH 6.0) prior to IHC staining.