The HSPB11 Antibody (CAB18224) is a high-quality antibody developed for reliable detection and analysis of target proteins. This antibody, derived from rabbits, is highly specific to human samples and has been validated for use in Western blot applications. By binding to the HSPB11 protein, this antibody allows for the detection and analysis of HSPB11 in various cell types, making it ideal for studies in cell biology and stress response mechanisms.HSPB11, also known as heat shock protein beta-1, plays a key role in the cellular response to stress and is involved in protecting cells from damage caused by various stressors such as heat and oxidative stress.
This antibody is validated for use in WB, IHC-P, IF/ICC, ELISA applications and has demonstrated reactivity against Human, Mouse, Rat samples.
Product Name:
HSPB11 Antibody
SKU:
CAB18224
Size:
20μL, 100μL
Reactivity:
Human, Mouse, Rat
Immunogen:
Recombinant protein (or fragment).This information is considered to be commercially sensitive.
Recommended starting concentration is 1 μg/mL. Please optimize the concentration based on your specific assay requirements.
Synonyms:
PP25, FAP232, HSPB11, C1orf41, CFAP232, HSPCO34
Positive Sample:
A-549, 293T, Mouse kidney, Mouse brain, Rat thymus
Cellular Localization:
Centrosome, Ciliary Tip, Cilium.
Calculated MW:
16kDa
Observed MW:
16kDa
Predicted to enable metal ion binding activity. Predicted to be involved in kidney development and spermatogenesis. Predicted to act upstream of or within animal organ development; left/right axis specification; and skeletal system development. Predicted to be located in ciliary tip. Predicted to be part of intraciliary transport particle B. Predicted to be active in centrosome and cilium.
Purification Method
Affinity purification
Gene ID
51668
RRID
AB_2862000
Buffer Information
Store at -20℃. Avoid freeze / thaw cycles. Buffer: PBS with 0.01% thimerosal,50% glycerol,pH7.3.
Western blot analysis of various lysates using HSPB11 Rabbit pAb (CAB18224) at 1:1000 dilution. Secondary antibody: HRP-conjugated Goat anti-Rabbit IgG (H+L) (CABS014) at 1:10000 dilution. Lysates/proteins: 25μg per lane. Blocking buffer: 3% nonfat dry milk in TBST. Detection: ECL Basic Kit (AbGn00020). Exposure time: 180s.
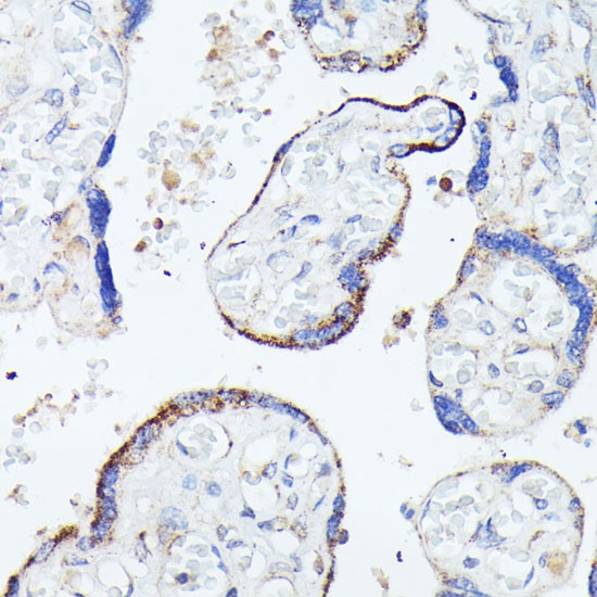
Immunohistochemistry analysis of paraffin-embedded Human placenta using HSPB11 Rabbit pAb (CAB18224) at dilution of 1:100 (40x lens). Microwave antigen retrieval performed with 0.01M PBS Buffer (pH 7.2) prior to IHC staining.
Immunofluorescence analysis of L929 cells using HSPB11 Rabbit pAb (CAB18224) at dilution of 1:100. Secondary antibody: Cy3-conjugated Goat anti-Rabbit IgG (H+L) (CABS007) at 1:500 dilution. Blue: DAPI for nuclear staining.