The IGHMBP2 Antibody (CAB16053) is a high-quality antibody developed for reliable detection and analysis of target proteins. This antibody, raised in rabbits, is highly specific to human samples and has been validated for use in Western blot applications. By binding to the IGHMBP2 protein, this antibody enables accurate detection and analysis in a variety of cell types, making it an ideal choice for research in molecular biology and genetics.IGHMBP2 is known for its role in maintaining mitochondrial and nuclear genome stability, as well as its involvement in DNA replication and transcription.
This antibody is validated for use in WB, IHC-P, ELISA applications and has demonstrated reactivity against Human, Mouse, Rat samples.
Product Name:
IGHMBP2 Antibody
SKU:
CAB16053
Size:
20μL, 100μL
Reactivity:
Human, Mouse, Rat
Conjugate:
Unconjugated
Immunogen:
Recombinant protein (or fragment).This information is considered to be commercially sensitive.
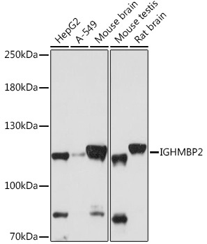
HepG2, A-549, Mouse brain, Mouse testis, Rat brain
Cellular Localization:
Cell Projection, Cytoplasm, Nucleus, Axon.
Calculated MW:
109kDa
Observed MW:
109kDa
This gene encodes a helicase superfamily member that binds a specific DNA sequence from the immunoglobulin mu chain switch region. Mutations in this gene lead to spinal muscle atrophy with respiratory distress type 1.
Purification Method
Affinity purification
Gene ID
3508
RRID
AB_2763492
Buffer Information
Store at -20℃. Avoid freeze / thaw cycles. Buffer: PBS with 0.01% thimerosal,50% glycerol,pH7.3.
Western blot analysis of various lysates using IGHMBP2 Rabbit pAb (CAB16053) at 1:1000 dilution. Secondary antibody: HRP-conjugated Goat anti-Rabbit IgG (H+L) (CABS014) at 1:10000 dilution. Lysates/proteins: 25μg per lane. Blocking buffer: 3% nonfat dry milk in TBST. Detection: ECL Basic Kit (AbGn00020). Exposure time: 60s.
Immunohistochemistry analysis of paraffin-embedded Rat brain using IGHMBP2 Rabbit pAb (CAB16053) at dilution of 1:100 (40x lens). Microwave antigen retrieval performed with 0.01M PBS Buffer (pH 7.2) prior to IHC staining.
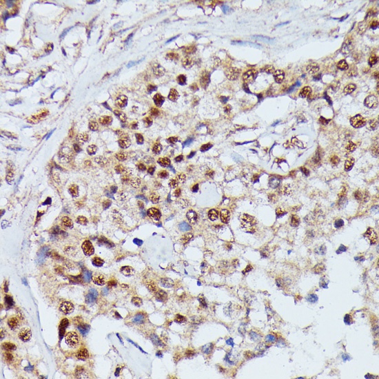
Immunohistochemistry analysis of paraffin-embedded Human mammary cancer using IGHMBP2 Rabbit pAb (CAB16053) at dilution of 1:100 (40x lens). Microwave antigen retrieval performed with 0.01M PBS Buffer (pH 7.2) prior to IHC staining.
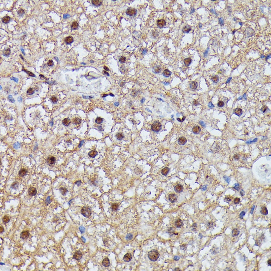
Immunohistochemistry analysis of paraffin-embedded Mouse liver using IGHMBP2 Rabbit pAb (CAB16053) at dilution of 1:100 (40x lens). Microwave antigen retrieval performed with 0.01M PBS Buffer (pH 7.2) prior to IHC staining.