null
100% Quality Guarantee
PhD-Level Technical Support
Key Features

IL2RA Rabbit Polyclonal Antibody (CAB2984)

SKU CAB2984
Product Type Antibody
Antibody Type Polyclonal Antibody
Reactivity Human, Mouse, Rat
Host Species Rabbit
Synonyms p55, CD25, IL2R, IMD41, TCGFR, IDDM10
Research Use Immunology
€96 - €370
Global Shipping: 80+ Countries
White Glove Service: Available upon request
Batch Consistency: Contact Sales
Distributors: 60+ Countries

Description

system_update_altDatasheetsystem_update_altMSDS

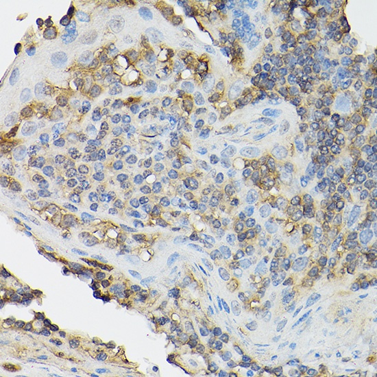
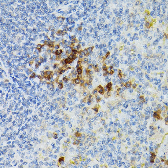
IL2RA Antibody (CAB2984)

The IL2RA Antibody (CAB2984) is a high-quality antibody developed for reliable detection and analysis of target proteins. This antibody, raised in rabbits, is highly specific for human samples and has been validated for use in Western blot applications.IL2RA plays a crucial role in the immune system, particularly in the activation and proliferation of T cells. Dysregulation of IL2RA has been implicated in various autoimmune diseases and inflammatory conditions, making it a key target for research in immunology and cancer biology.

This antibody is validated for use in WB, IHC-P, FC, ELISA, IF-P applications and has demonstrated reactivity against Human, Mouse, Rat samples.

0 Reviews

0
Based on 0 reviews

No reviews yet. Be the first to share your experience!

View AllClose