The IGF2BP2/IMP2 Monoclonal Antibody (CAB5189) is a high-quality antibody developed for reliable detection and analysis of target proteins. This antibody, generated in rabbits, is highly specific for human samples and has been validated for use in applications such as Western blotting.IMP2, also known as insulin-like growth factor 2 mRNA-binding protein 2, is involved in post-transcriptional regulation of gene expression and has been implicated in various cellular processes, including cell growth, differentiation, and tumorigenesis.
This antibody is validated for use in WB, IHC-P, IP, ELISA applications and has demonstrated reactivity against Human samples.
Product Name:
IGF2BP2/IMP2 Monoclonal Antibody
SKU:
CAB5189
Size:
20μL, 100μL
Reactivity:
Human
Clone Number:
ARC1203
Conjugate:
Unconjugated
Immunogen:
Recombinant protein (or fragment).This information is considered to be commercially sensitive.
0.5μg-4μg antibody for 200μg-400μg extracts of whole cells
ELISA
Recommended starting concentration is 1 μg/mL. Please optimize the concentration based on your specific assay requirements.
Synonyms:
IMP2, IMP-2, VICKZ2, IGF2BP2/IMP2
Positive Sample:
HT-29, 293T, Hep G2
Cellular Localization:
Cytoplasm, Nucleus.
Calculated MW:
66kDa/62kDa
Observed MW:
60-75kd
This gene encodes a protein that binds the 5' UTR of insulin-like growth factor 2 (IGF2) mRNA and regulates its translation. It plays an important role in metabolism and variation in this gene is associated with susceptibility to diabetes. Alternative splicing and promoter usage results in multiple transcript variants. Related pseudogenes are found on several chromosomes.
Purification Method
Affinity purification
Gene ID
10644
RRID
AB_2863480
Buffer Information
Store at -20℃. Avoid freeze / thaw cycles. Buffer: PBS containing 50% glycerol and 0.05% BSA, preserved with proclin300 or sodium azide, pH 7.3.
Western blot analysis of various lysates using IGF2BP2/IMP2 Rabbit mAb (CAB5189) at 1:1000 dilution. Secondary antibody: HRP-conjugated Goat anti-Rabbit IgG (H+L) (CABS014) at 1:10000 dilution. Lysates/proteins: 25 μg per lane. Blocking buffer: 3% nonfat dry milk in TBST. Detection: ECL Basic Kit (AbGn00020). Exposure time: 30 s.
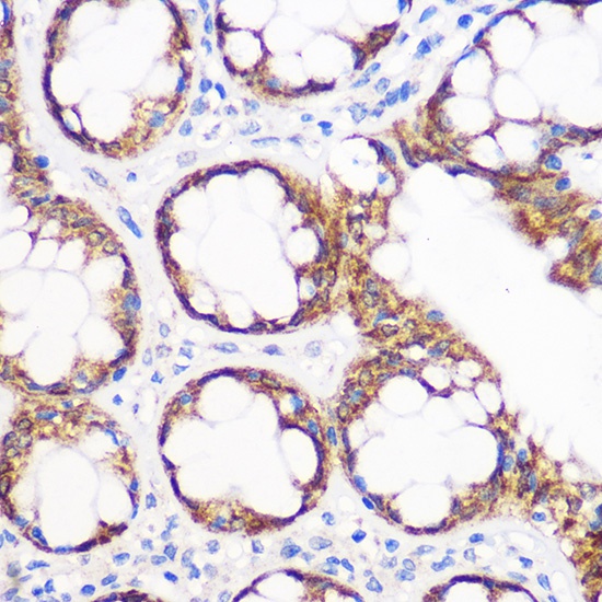
Immunohistochemistry analysis of paraffin-embedded Human colon using IGF2BP2/IMP2 Rabbit mAb (CAB5189) at dilution of 1:100 (40x lens). Microwave antigen retrieval performed with 0.01M Tris/EDTA Buffer (pH 9.0) prior to IHC staining.