The IPO4 Antibody (CAB15600) is a high-quality antibody developed for reliable detection and analysis of target proteins. IPO4, a key player in the nuclear import process, is essential for regulating the transportation of proteins into the nucleus. This antibody, produced in rabbits, exhibits high reactivity with human samples and is optimized for Western blot applications.By targeting the IPO4 protein, this antibody allows for the detection and analysis of IPO4 in various cell types, making it an ideal tool for researchers in the fields of cell biology, molecular biology, and genetics.
This antibody is validated for use in WB, IF/ICC, ELISA applications and has demonstrated reactivity against Human, Mouse, Rat samples.
Product Name:
IPO4 Antibody
SKU:
CAB15600
Size:
20μL, 100μL
Reactivity:
Human, Mouse, Rat
Conjugate:
Unconjugated
Immunogen:
Recombinant protein (or fragment).This information is considered to be commercially sensitive.
Recommended starting concentration is 1 μg/mL. Please optimize the concentration based on your specific assay requirements.
Synonyms:
Imp4, IPO4
Positive Sample:
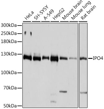
HeLa, SH-SY5Y, A-549, HepG2, Mouse brain, Mouse lung, Rat brain
Cellular Localization:
Cytoplasm, Nucleus.
Calculated MW:
119kDa
Observed MW:
119kDa
Predicted to enable nuclear import signal receptor activity and nuclear localization sequence binding activity. Involved in DNA replication-dependent chromatin assembly; DNA replication-independent chromatin assembly; and protein import into nucleus. Located in chromatin. Part of protein-containing complex.
Purification Method
Affinity purification
Gene ID
79711
RRID
AB_2763006
Buffer Information
Store at -20℃. Avoid freeze / thaw cycles. Buffer: PBS with 0.01% thimerosal,50% glycerol,pH7.3.
Western blot analysis of various lysates using IPO4 Rabbit pAb (CAB15600) at 1:1000 dilution. Secondary antibody: HRP-conjugated Goat anti-Rabbit IgG (H+L) (CABS014) at 1:10000 dilution. Lysates/proteins: 25μg per lane. Blocking buffer: 3% nonfat dry milk in TBST. Detection: ECL Basic Kit (AbGn00020). Exposure time: 1s.
Immunofluorescence analysis of C6 cells using IPO4 Rabbit pAb (CAB15600) at dilution of 1:100. Secondary antibody: Cy3-conjugated Goat anti-Rabbit IgG (H+L) (CABS007) at 1:500 dilution. Blue: DAPI for nuclear staining.
Immunofluorescence analysis of L929 cells using IPO4 Rabbit pAb (CAB15600) at dilution of 1:100. Secondary antibody: Cy3-conjugated Goat anti-Rabbit IgG (H+L) (CABS007) at 1:500 dilution. Blue: DAPI for nuclear staining.