IPP Antibody is a premium polyclonal that offers outstanding performance and reliability for demanding research applications. Rigorously validated for ELISA, WB, IHC, IF, this antibody ensures consistent, reproducible results across multiple experimental platforms. Demonstrates excellent reactivity with Human, Rat samples, providing researchers with confidence in cross-species compatibility. Conveniently packaged in 50ug format to meet your experimental needs. For optimal performance, store at -20°C or -80°C and maintains stability for 12 months. Backed by rigorous quality control testing to ensure superior performance in your critical research applications.
Product Name:
IPP Antibody
SKU:
PACO54310
Size:
50μg
Isotype:
IgG
Host Species:
Rabbit
Reactivity:
Human, Rat
Immunogen:
Recombinant Human Actin-binding protein IPP protein (444-515AA)
Immunogen Species:
Homo sapiens (Human)
Uniprot No:
Q9Y573
Form:
Liquid
Tested Applications:
ELISAWBIHCIF
Recommended Dilution:
Application
Recommended Dilution
WB
1:500-1:5000
IHC
1:20-1:200
IF
1:50-1:200
Synonyms:
IPP antibody, KLHL27 antibody, Actin-binding protein IPP antibody, Intracisternal A particle-promoted polypeptide antibody, IPP antibody, Kelch-like protein 27 antibody
Western Blot Positive WB detected in: Rat kidney tissue All lanes: IPP antibody at 3.2µg/ml Secondary Goat polyclonal to rabbit IgG at 1/50000 dilution Predicted band size: 66 kDa Observed band size: 66 kDa
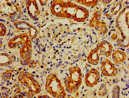
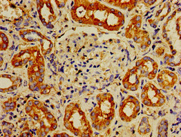
Immunohistochemistry of paraffin-embedded human kidney tissue using PACO54310 at dilution of 1:100
Immunofluorescent analysis of HepG2 cells using PACO54310 at dilution of 1:100 and Alexa Fluor 488-congugated AffiniPure Goat Anti-Rabbit IgG(H+L)