KLHDC8A Antibody is a premium polyclonal that offers outstanding performance and reliability for demanding research applications. Rigorously validated for ELISA, WB, IHC, this antibody ensures consistent, reproducible results across multiple experimental platforms. Demonstrates excellent reactivity with Human, Mouse samples, providing researchers with confidence in cross-species compatibility. Conveniently packaged in 50ug format to meet your experimental needs. For optimal performance, store at -20°C or -80°C and maintains stability for 12 months. Backed by rigorous quality control testing to ensure superior performance in your critical research applications.
Product Name:
KLHDC8A Antibody
SKU:
PACO37846
Size:
50μg
Isotype:
IgG
Host Species:
Rabbit
Reactivity:
Human
Immunogen:
Recombinant Human Kelch domain-containing protein 8A protein (1-350AA)
Immunogen Species:
Homo sapiens (Human)
Uniprot No:
Q8IYD2
Form:
Liquid
Tested Applications:
ELISAWBIHC
Recommended Dilution:
Application
Recommended Dilution
WB
1:500-1:2000
IHC
1:20-1:200
Synonyms:
KLHDC8A antibody, Kelch domain-containing protein 8A antibody, Substitute for delta-EGFR expression 1 antibody, S-delta-E1 antibody
Western Blot Positive WB detected in: JK whole cell lysate, A2780 whole cell lysate, ntera2 whole cell lysate, K562 whole cell lysate, HL60 whole cell lysate All lanes: KLHDC8A antibody at 1:1000 Secondary Goat polyclonal to rabbit IgG at 1/50000 dilution Predicted band size: 39 kDa Observed band size: 39 kDa
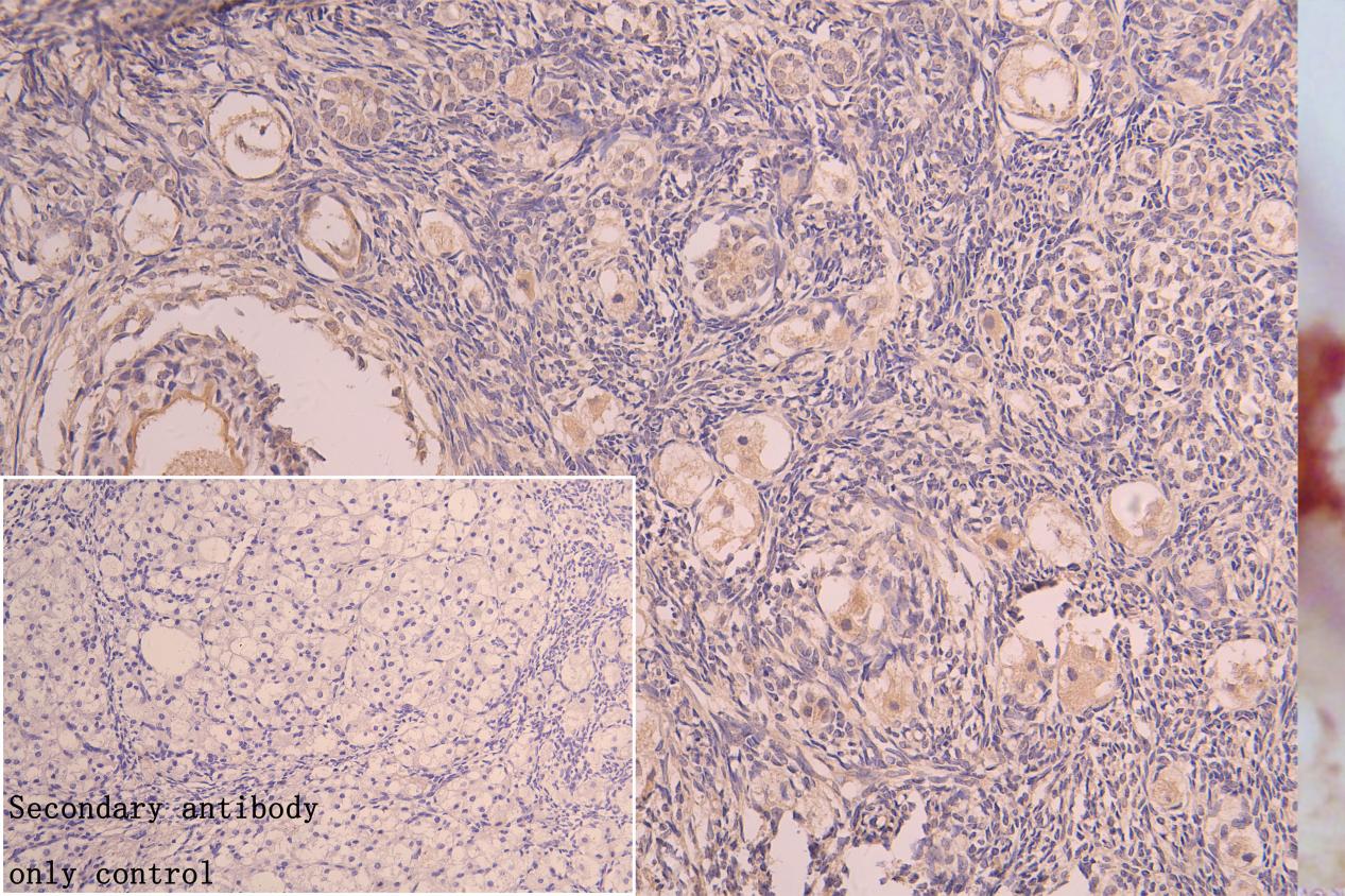
IHC image of PACO37846 diluted at 1:150 and staining in paraffin-embedded human ovariane tissue performed on a Leica BondTM system. After dewaxing and hydration, antigen retrieval was mediated by high pressure in a citrate buffer (pH 6.0). Section was blocked with 10% normal goat serum 30min at RT. Then primary antibody (1% BSA) was incubated at 4°C overnight. The primary is detected by a Goat anti-rabbit polymer IgG labeled by HRP and visualized using 0.05% DAB. Secondary antibody only control: uses 1% BSA instead of primary antibody