The [KO Validated] MLST8 Antibody (CAB1059) is a high-quality antibody developed for reliable detection and analysis of target proteins. This antibody, generated in rabbits, demonstrates high specificity and sensitivity in detecting MLST8 in human samples, making it an ideal choice for Western blot applications.MLST8, also known as GβL, is a subunit of the mammalian target of rapamycin (mTOR) complex, which regulates cell growth and metabolism in response to environmental cues and nutrient availability. Dysregulation of the mTOR pathway has been implicated in various diseases, including cancer, diabetes, and neurodegenerative disorders, making MLST8 a promising therapeutic target.
This antibody is validated for use in WB, ELISA applications and has demonstrated reactivity against Human, Mouse, Rat samples.
Product Name:
[KO Validated] MLST8 Antibody
SKU:
CAB1059
Size:
20μL, 100μL
Reactivity:
Human, Mouse, Rat
Conjugate:
Unconjugated
Immunogen:
Recombinant protein (or fragment).This information is considered to be commercially sensitive.
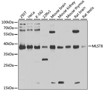
293T, HeLa, K-562, 22Rv1, Mouse brain, Mouse kidney, Mouse thymus, Rat brain, Rat testis
Cellular Localization:
Cytoplasm.
Calculated MW:
36kDa
Observed MW:
37kDa
Enables protein serine/threonine kinase activator activity. Involved in TORC1 signaling; positive regulation of TOR signaling; and regulation of actin cytoskeleton organization. Part of TORC1 complex and TORC2 complex.
Purification Method
Affinity purification
Gene ID
64223
RRID
AB_2758130
Buffer Information
Store at -20℃. Avoid freeze / thaw cycles. Buffer: PBS containing 50% glycerol, preserved with proclin300 or sodium azide, pH 7.3.
Western blot analysis of various lysates using [KD Validated] MLST8 Rabbit pAb (CAB1059) at 1:1000 dilution. Secondary antibody: HRP-conjugated Goat anti-Rabbit IgG (H+L) (CABS014) at 1:10000 dilution. Lysates/proteins: 25μg per lane. Blocking buffer: 3% nonfat dry milk in TBST. Detection: ECL Basic Kit (AbGn00020). Exposure time: 5s.
Western blot analysis of various lysates, using MLST8 Rabbit pAb (CAB1059) at 1:400 dilution. Secondary antibody: HRP-conjugated Goat anti-Rabbit IgG (H+L) (CABS014) at 1:10000 dilution. Lysates/proteins: 25μg per lane. Blocking buffer: 3% nonfat dry milk in TBST. Detection: ECL Basic Kit (AbGn00020). Exposure time: 60s.