The [KO Validated] NDUFB4 Antibody (CAB13820) is a high-quality antibody developed for reliable detection and analysis of target proteins. This antibody, generated in rabbits, has high specificity for human samples and has been validated for use in Western blotting applications.NDUFB4 plays a key role in the electron transport chain and is essential for ATP synthesis in mitochondria. Dysregulation of NDUFB4 has been linked to various diseases, including neurodegenerative disorders and metabolic syndromes.
This antibody is validated for use in WB, IHC-P, IF/ICC, ELISA applications and has demonstrated reactivity against Human, Mouse, Rat samples.
Product Name:
[KO Validated] NDUFB4 Antibody
SKU:
CAB13820
Size:
20μL, 100μL
Reactivity:
Human, Mouse, Rat
Conjugate:
Unconjugated
Immunogen:
Recombinant protein (or fragment).This information is considered to be commercially sensitive.
This gene encodes a non-catalytic subunit of the multisubunit NADH:ubiquinone oxidoreductase, the first enzyme complex in the mitochondrial electron transport chain (complex I). Mammalian complex I is composed of 45 different subunits and transfers electrons from NADH to ubiquinone.
Purification Method
Affinity purification
Gene ID
4710
RRID
AB_2861696
Buffer Information
Store at -20℃. Avoid freeze / thaw cycles. Buffer: PBS with 0.01% thimerosal,50% glycerol,pH7.3.
Western blot analysis of various lysates using [KO Validated] NDUFB4 Rabbit pAb (CAB13820) at 1:3000 dilution. Secondary antibody: HRP-conjugated Goat anti-Rabbit IgG (H+L) (CABS014) at 1:10000 dilution. Lysates/proteins: 25μg per lane. Blocking buffer: 3% nonfat dry milk in TBST. Detection: ECL Basic Kit (AbGn00020). Exposure time: 90s.
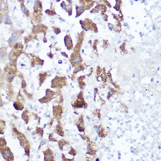
Immunohistochemistry analysis of paraffin-embedded Human liver using [KO Validated] NDUFB4 Rabbit pAb (CAB13820) at dilution of 1:100 (40x lens). High pressure antigen retrieval performed with 0.01M Citrate buffer (pH 6.0) prior to IHC staining.
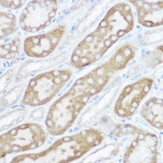
Immunohistochemistry analysis of paraffin-embedded Rat kidney using [KO Validated] NDUFB4 Rabbit pAb (CAB13820) at dilution of 1:100 (40x lens). High pressure antigen retrieval performed with 0.01M Citrate buffer (pH 6.0) prior to IHC staining.
Immunofluorescence analysis of L929 cells using [KO Validated] NDUFB4 Rabbit pAb (CAB13820) at dilution of 1:100 (40x lens). Secondary antibody: Cy3-conjugated Goat anti-Rabbit IgG (H+L) (CABS007) at 1:500 dilution. Blue: DAPI for nuclear staining.