The LIPH Polyclonal Antibody (CAB15215) is a valuable tool for researchers studying LIPH, a cell surface enzyme that plays a key role in lipid metabolism and skin barrier function. This antibody, produced in rabbits, is highly specific for human samples and is validated for use in a variety of applications, including Western blotting.LIPH is known to be involved in the hydrolysis of lipid molecules, specifically phospholipids, and is important for the maintenance of skin integrity and hydration.
Dysregulation of LIPH has been associated with conditions such as ichthyosis, a group of genetic skin disorders characterized by dry, scaly skin.By utilizing the LIPH Polyclonal Antibody, researchers can detect and measure the expression of LIPH in different cell types and tissues, providing insights into its function and potential role in skin diseases. This antibody is a valuable tool for advancing research in dermatology, lipid metabolism, and skin biology.
Product Name:
LIPH Rabbit Polyclonal Antibody
SKU:
CAB15215
Size:
20uL, 100uL
Isotype:
IgG
Host Species:
Rabbit
Reactivity:
Human,Mouse,Rat
Immunogen:
A synthetic peptide corresponding to a sequence within amino acids 350-450 of human LIPH (NP_640341.1).
This gene encodes a membrane-bound member of the mammalian triglyceride lipase family. It catalyzes the production of 2-acyl lysophosphatidic acid (LPA), which is a lipid mediator with diverse biological properties that include platelet aggregation, smooth muscle contraction, and stimulation of cell proliferation and motility.
Purification Method:
Affinity purification
Gene ID:
200879
Storage Buffer:
Store at -20℃. Avoid freeze / thaw cycles.Buffer: PBS with 0.01% thimerosal,50% glycerol,pH7.3.
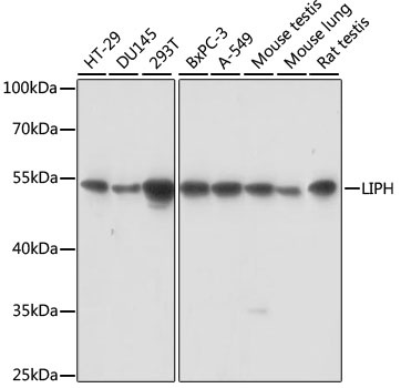
Western blot analysis of various lysates using LIPH Rabbit pAb (CAB15215) at 1:1000 dilution.Secondary antibody: HRP Goat Anti-Rabbit IgG (H+L) (CABS014) at 1:10000 dilution.Lysates/proteins: 25μg per lane.Blocking buffer: 3% nonfat dry milk in TBST.Detection: ECL Basic Kit (AbGn00020).Exposure time: 10s.