The LPIN2 Antibody (CAB15762) is a high-quality antibody developed for reliable detection and analysis of target proteins. This antibody, generated in rabbits, shows high reactivity with human samples and is validated for use in Western blot applications. By binding specifically to the LPIN2 protein, researchers can accurately detect and analyze its expression in a variety of cell types, making it an essential component in studies focusing on metabolism, obesity, and related diseases.LPIN2 is known for its crucial role in lipid metabolism, particularly in the regulation of triglyceride synthesis and storage. Dysregulation of LPIN2 has been implicated in metabolic disorders such as obesity, insulin resistance, and fatty liver disease.
This antibody is validated for use in WB, ELISA applications and has demonstrated reactivity against Human, Mouse samples.
Product Name:
LPIN2 Antibody
SKU:
CAB15762
Size:
20μL, 100μL
Reactivity:
Human, Mouse
Conjugate:
Unconjugated
Immunogen:
Recombinant protein (or fragment).This information is considered to be commercially sensitive.
Mouse studies suggest that this gene functions during normal adipose tissue development and may play a role in human triglyceride metabolism. This gene represents a candidate gene for human lipodystrophy, characterized by loss of body fat, fatty liver, hypertriglyceridemia, and insulin resistance.
Purification Method
Affinity purification
Gene ID
9663
RRID
AB_2763180
Buffer Information
Store at -20℃. Avoid freeze / thaw cycles. Buffer: PBS with 0.01% thimerosal,50% glycerol,pH7.3.
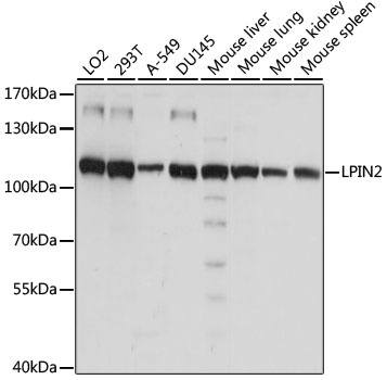
Western blot analysis of various lysates using LPIN2 Rabbit pAb (CAB15762) at 1:1000 dilution. Secondary antibody: HRP-conjugated Goat anti-Rabbit IgG (H+L) (CABS014) at 1:10000 dilution. Lysates/proteins: 25μg per lane. Blocking buffer: 3% nonfat dry milk in TBST. Detection: ECL Basic Kit (AbGn00020). Exposure time: 15s.