The LYVE1 Monoclonal Antibody (CAB4352) is a high-quality antibody developed for reliable detection and analysis of target proteins. This antibody, produced in rabbits, exhibits high specificity and sensitivity when detecting LYVE1 in various samples, particularly in immunohistochemistry and flow cytometry applications.LYVE1, also known as lymphatic vessel endothelial hyaluronan receptor 1, is essential for maintaining proper lymphatic vessel integrity and function. Its expression is closely linked to lymphangiogenesis, making it a key player in processes like immune cell trafficking and tissue fluid balance.
This antibody is validated for use in WB, ELISA applications and has demonstrated reactivity against Human, Mouse, Rat samples.
Product Name:
LYVE1 Monoclonal Antibody
SKU:
CAB4352
Size:
20μL, 100μL
Reactivity:
Human, Mouse, Rat
Clone Number:
ARC0974
Conjugate:
Unconjugated
Immunogen:
Synthetic peptide. This information is considered to be commercially sensitive.
Recommended starting concentration is 1 μg/mL. Please optimize the concentration based on your specific assay requirements.
Synonyms:
HAR, XLKD1, LYVE-1, CRSBP-1, LYVE1
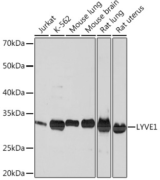
Positive Sample:
Jurkat, K-562, Mouse lung, Mouse brain, Rat lung, Rat uterus
Cellular Localization:
Cell Membrane, Single-Pass Type I Membrane Protein.
Calculated MW:
35kDa
Observed MW:
33kDa
This gene encodes a type I integral membrane glycoprotein. The encoded protein acts as a receptor and binds to both soluble and immobilized hyaluronan. This protein may function in lymphatic hyaluronan transport and have a role in tumor metastasis.
Purification Method
Affinity purification
Gene ID
10894
RRID
AB_2863245
Buffer Information
Store at -20℃. Avoid freeze / thaw cycles. Buffer: PBS containing 50% glycerol and 0.05% BSA, preserved with proclin300 or sodium azide, pH 7.3.
Western blot analysis of various lysates using LYVE1 Rabbit mAb (CAB4352) at 1:1000 dilution. Secondary antibody: HRP-conjugated Goat anti-Rabbit IgG (H+L) (CABS014) at 1:10000 dilution. Lysates/proteins: 25μg per lane. Blocking buffer: 3% nonfat dry milk in TBST. Detection: ECL Basic Kit (AbGn00020). Exposure time: 60s.