The MAGED1 Antibody (CAB1092) is a high-quality antibody developed for reliable detection and analysis of target proteins. This antibody, generated in rabbits, is highly specific to human samples and has been validated for use in Western blot applications. By binding to the MAGED1 protein, researchers can easily detect and analyze its expression in different cell types, making it an ideal choice for studies in molecular biology and cancer research.
This antibody is validated for use in WB, IHC-P, ELISA applications and has demonstrated reactivity against Human, Mouse, Rat samples.
Product Name:
MAGED1 Antibody
SKU:
CAB1092
Size:
20μL, 100μL
Reactivity:
Human, Mouse, Rat
Conjugate:
Unconjugated
Immunogen:
Recombinant protein (or fragment).This information is considered to be commercially sensitive.
This gene is a member of the melanoma antigen gene (MAGE) family. Most of the genes of this family encode tumor specific antigens that are not expressed in normal adult tissues except testis. Although the protein encoded by this gene shares strong homology with members of the MAGE family, it is expressed in almost all normal adult tissues. This gene has been demonstrated to be involved in the p75 neurotrophin receptor mediated programmed cell death pathway. Three transcript variants encoding two different isoforms have been found for this gene.
Purification Method
Affinity purification
Gene ID
9500
RRID
AB_2758316
Buffer Information
Store at -20℃. Avoid freeze / thaw cycles. Buffer: PBS containing 50% glycerol, preserved with proclin300 or sodium azide, pH 7.3.
Western blot analysis of lysates from A-549 cells, using MAGED1/NRAGE Rabbit pAb (CAB1092) at 1:500 dilution. Secondary antibody: HRP-conjugated Goat anti-Rabbit IgG (H+L) (CABS014) at 1:10000 dilution. Lysates/proteins: 25μg per lane. Blocking buffer: 3% nonfat dry milk in TBST. Detection: ECL Basic Kit (AbGn00020). Exposure time: 90s.
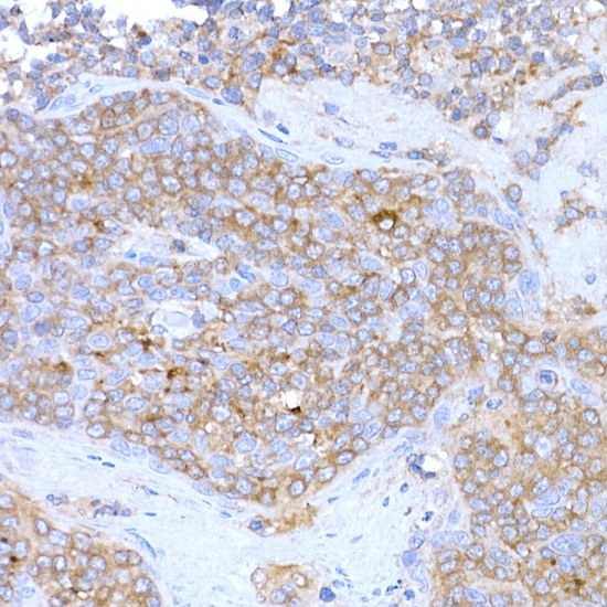
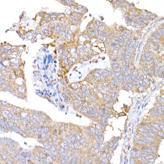
Immunohistochemistry analysis of paraffin-embedded Human colon carcinoma using MAGED1/NRAGE Rabbit pAb (CAB1092) at dilution of 1:500 (40x lens). High pressure antigen retrieval performed with 0.01M Citrate buffer (pH 6.0) prior to IHC staining.
Immunohistochemistry analysis of paraffin-embedded Human tonsil using MAGED1/NRAGE Rabbit pAb (CAB1092) at dilution of 1:500 (40x lens). High pressure antigen retrieval performed with 0.01M Citrate buffer (pH 6.0) prior to IHC staining.
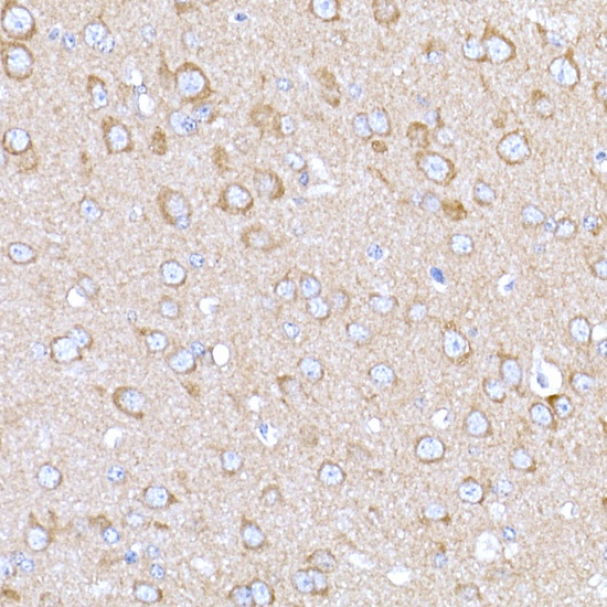
Immunohistochemistry analysis of paraffin-embedded Mouse brain using MAGED1/NRAGE Rabbit pAb (CAB1092) at dilution of 1:500 (40x lens). High pressure antigen retrieval performed with 0.01M Citrate buffer (pH 6.0) prior to IHC staining.
Immunohistochemistry analysis of paraffin-embedded Rat brain using MAGED1/NRAGE Rabbit pAb (CAB1092) at dilution of 1:500 (40x lens). High pressure antigen retrieval performed with 0.01M Citrate buffer (pH 6.0) prior to IHC staining.
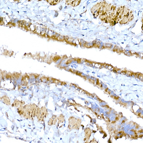
Immunohistochemistry analysis of paraffin-embedded Rat lung using MAGED1/NRAGE Rabbit pAb (CAB1092) at dilution of 1:500 (40x lens). High pressure antigen retrieval performed with 0.01M Citrate buffer (pH 6.0) prior to IHC staining.