The MEK5 Antibody (CAB6953) is a high-quality antibody developed for reliable detection and analysis of target proteins. This antibody, produced in rabbits, exhibits high specificity for human samples and has been validated for use in Western blot applications. By binding to the MAP2K5 protein, researchers can easily detect and analyze its expression in different cell types, making it ideal for studies in cellular signaling and cancer research.
This antibody is validated for use in WB, IHC-P, IF/ICC, ELISA applications and has demonstrated reactivity against Human, Mouse, Rat samples.
Product Name:
MEK5 Antibody
SKU:
CAB6953
Size:
20μL, 100μL
Reactivity:
Human, Mouse, Rat
Conjugate:
Unconjugated
Immunogen:
Recombinant protein (or fragment).This information is considered to be commercially sensitive.
Recommended starting concentration is 1 μg/mL. Please optimize the concentration based on your specific assay requirements.
Synonyms:
MEK5, MAPKK5, PRKMK5, HsT17454
Positive Sample:
NCI-H460, BT-474, Mouse liver, Rat liver, Rat kidney
Cellular Localization:
Cytosol, Nucleus, Spindle.
Calculated MW:
50kDa
Observed MW:
50kDa
The protein encoded by this gene is a dual specificity protein kinase that belongs to the MAP kinase kinase family. This kinase specifically interacts with and activates MAPK7/ERK5. This kinase itself can be phosphorylated and activated by MAP3K3/MEKK3, as well as by atypical protein kinase C isoforms (aPKCs). The signal cascade mediated by this kinase is involved in growth factor stimulated cell proliferation and muscle cell differentiation. Three alternatively spliced transcript variants of this gene encoding distinct isoforms have been described.
Purification Method
Affinity purification
Gene ID
5607
RRID
AB_2767511
Buffer Information
Store at -20℃. Avoid freeze / thaw cycles. Buffer: PBS with 0.09% Sodium azide,50% glycerol,pH7.3.
Western blot analysis of various lysates using MEK5 Rabbit pAb (CAB6953) at 1:500 dilution. Secondary antibody: HRP-conjugated Goat anti-Rabbit IgG (H+L) (CABS014) at 1:10000 dilution. Lysates/proteins: 25μg per lane. Blocking buffer: 3% nonfat dry milk in TBST. Detection: ECL Basic Kit (AbGn00020). Exposure time: 20s.
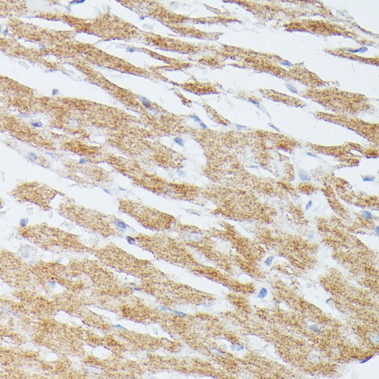
Immunohistochemistry analysis of paraffin-embedded Rat heart using MEK5 Rabbit pAb (CAB6953) at dilution of 1:100 (40x lens). Microwave antigen retrieval performed with 0.01M PBS Buffer (pH 7.2) prior to IHC staining.
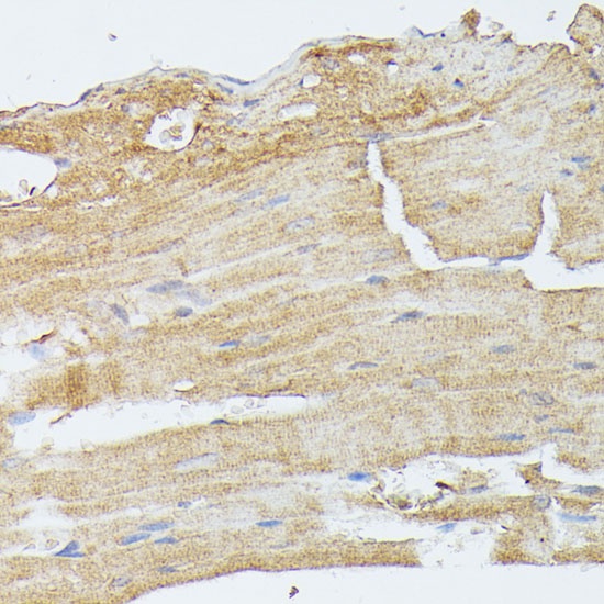
Immunohistochemistry analysis of paraffin-embedded Mouse heart using MEK5 Rabbit pAb (CAB6953) at dilution of 1:100 (40x lens). Microwave antigen retrieval performed with 0.01M PBS Buffer (pH 7.2) prior to IHC staining.
Immunofluorescence analysis of MCF7 cells using MEK5 Rabbit pAb (CAB6953). Secondary antibody: Cy3-conjugated Goat anti-Rabbit IgG (H+L) (CABS007) at 1:500 dilution. Blue: DAPI for nuclear staining.