The MAPK1/MAPK3 Antibody (CAB16736) is a high-quality antibody developed for reliable detection and analysis of target proteins. These proteins are crucial components of the MAPK/ERK signaling pathway, which plays a key role in regulating cell proliferation, differentiation, and survival. Raised in rabbits, this antibody is highly reactive with human samples and has been validated for use in Western blot applications. It binds to both MAPK1 and MAPK3 proteins, allowing for the detection and analysis of their expression levels and activation status in various cell types.
This antibody is validated for use in WB, IF/ICC, ELISA applications and has demonstrated reactivity against Human, Mouse, Rat samples.
Product Name:
MAPK1/MAPK3 Antibody
SKU:
CAB16736
Size:
20μL, 100μL
Reactivity:
Human, Mouse, Rat
Conjugate:
Unconjugated
Immunogen:
Synthetic peptide. This information is considered to be commercially sensitive.
Sequence:
LNSK GYTK SIDI WSVG CILA EMLS NRPI FPGK HYLD QLNH ILGI LGSP SQED LNCI INLK ARNY LLSL PHKN KVPW NRLF PNAD SKAL DLLD KMLT FNPH K
Tested Applications:
WBIF/ICCELISA
Recommended Dilution:
WB
1:1000 - 1:2000
IF/ICC
1:100 - 1:200
ELISA
Recommended starting concentration is 1 μg/mL. Please optimize the concentration based on your specific assay requirements.
Positive Sample:
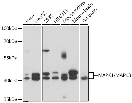
HeLa, HepG2, 293T, NIH/3T3, Mouse kidney, Mouse brain, Rat brain
Cellular Localization:
Caveola, Cytoplasm, Cytoskeleton, Cytosol, Early Endosome, Endoplasmic Reticulum Lumen, Extracellular Region, Focal Adhesion, Golgi Apparatus, Late Endosome, Microtubule Organizing Center, Mitochondrion, Mitotic Spindle, Nucleoplasm, Nucleus, Plasma Membrane.
Calculated MW:
36kDa/38kDa/40kDa/41kDa/43kDa
Observed MW:
41kDa/43kDa
MAP kinases, also known as extracellular signal-regulated kinases (ERKs), act as an integration point for multiple biochemical signals, and are involved in a wide variety of cellular processes such as proliferation, differentiation, transcription regulation and development. The activation of this kinase requires its phosphorylation by upstream kinases. Upon activation, this kinase translocates to the nucleus of the stimulated cells, where it phosphorylates nuclear targets.
Purification Method
Affinity purification
Gene ID
5594 5595
RRID
AB_2770275
Buffer Information
Store at -20℃. Avoid freeze / thaw cycles. Buffer: PBS containing 50% glycerol, preserved with proclin300 or sodium azide, pH 7.3.
Western blot analysis of various lysates using MAPK1/MAPK3 Rabbit pAb (CAB16736) at 1:1000 dilution. Secondary antibody: HRP-conjugated Goat anti-Rabbit IgG (H+L) (CABS014) at 1:10000 dilution. Lysates/proteins: 25μg per lane. Blocking buffer: 3% nonfat dry milk in TBST. Detection: ECL Basic Kit (AbGn00020). Exposure time: 10s.
Immunofluorescence analysis of NIH-3T3 cells using MAPK1/MAPK3 Rabbit pAb (CAB16736) at dilution of 1:100 (40x lens). Secondary antibody: Cy3-conjugated Goat anti-Rabbit IgG (H+L) (CABS007) at 1:500 dilution. Blue: DAPI for nuclear staining.