The MPI Polyclonal Antibody (CAB7319) is specifically designed for research involving the MPI protein, which is involved in a variety of metabolic pathways, particularly in the synthesis of vitamin B6. This antibody, produced in rabbits, has been validated for use in Western blot applications and is highly reactive with human samples.The MPI protein plays a crucial role in maintaining proper levels of vitamin B6, which is essential for various biological processes such as amino acid metabolism, neurotransmitter synthesis, and immune function. Dysregulation of MPI and vitamin B6 metabolism has been implicated in a range of diseases, including certain cancers, neurological disorders, and cardiovascular diseases.
By utilizing the MPI Polyclonal Antibody, researchers can effectively detect and analyze the MPI protein in different cell types, allowing for a better understanding of its functions and its implications in various disease states. This antibody is a valuable tool for studies in biochemistry, metabolism, and nutrition, as well as for developing potential therapies targeting MPI-related pathways.
Product Name:
MPI Rabbit Polyclonal Antibody
SKU:
CAB7319
Size:
20uL, 100uL
Isotype:
IgG
Host Species:
Rabbit
Reactivity:
Human,Mouse,Rat
Immunogen:
Recombinant fusion protein containing a sequence corresponding to amino acids 1-423 of human MPI (NP_002426.1).
Phosphomannose isomerase catalyzes the interconversion of fructose-6-phosphate and mannose-6-phosphate and plays a critical role in maintaining the supply of D-mannose derivatives, which are required for most glycosylation reactions. Mutations in the MPI gene were found in patients with carbohydrate-deficient glycoprotein syndrome, type Ib. Alternative splicing results in multiple transcript variants.
Purification Method:
Affinity purification
Gene ID:
4351
Storage Buffer:
Store at -20℃. Avoid freeze / thaw cycles.Buffer: PBS with 0.02% sodium azide,50% glycerol,pH7.3.
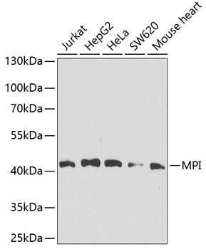
Western blot analysis of extracts of various cell lines, using MPI antibody (CAB7319) at 1:1000 dilution.Secondary antibody: HRP Goat Anti-Rabbit IgG (H+L) (CABS014) at 1:10000 dilution.Lysates/proteins: 25μg per lane.Blocking buffer: 3% nonfat dry milk in TBST.Detection: ECL Basic Kit (AbGn00020).Exposure time: 30s.