The MT1X Polyclonal Antibody (PACO33804) is a valuable tool for research involving MT1X, a metallothionein protein known for its role in metal ion homeostasis and protection against oxidative stress. This antibody, produced in rabbits, is highly specific to human MT1X samples and has been validated for use in Western blot applications. By targeting the MT1X protein, this antibody enables accurate detection and analysis in a variety of cell types, making it a versatile tool for studies in biochemistry, toxicology, and neurobiology.MT1X is a crucial player in cellular defense mechanisms against heavy metals and reactive oxygen species, making it a promising target for research on metal toxicity, neurodegenerative diseases, and metal-related cancers.
Understanding the functions of MT1X can provide insights into how cells respond to environmental stresses and help in the development of therapies for conditions involving metal overload or oxidative damage. The MT1X Polyclonal Antibody is an essential resource for researchers aiming to unravel the roles of MT1X in health and disease.
Antibody Name:
MT1X Antibody (PACO33804)
Antibody SKU:
PACO33804
Size:
50ug
Host Species:
Rabbit
Tested Applications:
ELISA, IHC
Recommended Dilutions:
ELISA:1:2000-1:10000, IHC:1:20-1:200
Species Reactivity:
Human
Immunogen:
Recombinant Human Metallothionein-1X protein (1-59AA)
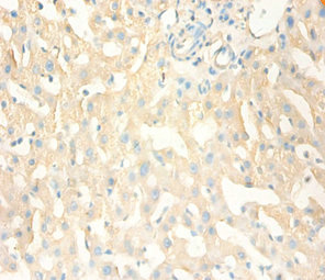
Immunohistochemistry of paraffin-embedded human liver tissue using PACO33804 at dilution of 1:100.
Immunohistochemistry of paraffin-embedded human small intestine tissue using PACO33804 at dilution of 1:100.
Background:
Metallothioneins have a high content of cysteine residues that bind various heavy metals; these proteins are transcriptionally regulated by both heavy metals and glucocorticoids. May be involved in FAM168A anti-apoptotic signaling.
MT1X: Metallothioneins have a high content of cysteine residues that bind various heavy metals; these proteins are transcriptionally regulated by both heavy metals and glucocorticoids. Belongs to the metallothionein superfamily. Type 1 family.Chromosomal Location of Human Ortholog: 16q13Cellular Component: cytoplasm; nucleus; perinuclear region of cytoplasmMolecular Function: metal ion binding; protein binding; zinc ion bindingBiological Process: negative regulation of growth; response to metal ion