The MTMR8 Antibody (CAB17723) is a high-quality antibody developed for reliable detection and analysis of target proteins. This antibody, derived from rabbit hosts, exhibits high specificity and sensitivity for human samples, making it a reliable tool for Western blot analyses.MTMR8 is a phosphatase enzyme involved in the regulation of cell growth, differentiation, and survival. Dysregulation of MTMR8 has been implicated in various diseases, including cancer and neurodegenerative disorders.
This antibody is validated for use in WB, IHC-P, ELISA applications and has demonstrated reactivity against Human, Mouse, Rat samples.
Product Name:
MTMR8 Antibody
SKU:
CAB17723
Size:
20μL, 100μL
Reactivity:
Human, Mouse, Rat
Conjugate:
Unconjugated
Immunogen:
Recombinant protein (or fragment).This information is considered to be commercially sensitive.
Recommended starting concentration is 1 μg/mL. Please optimize the concentration based on your specific assay requirements.
Synonyms:
MTMR8
Positive Sample:
U-87MG, SKOV3, HT-29
Cellular Localization:
Nucleus Envelope.
Calculated MW:
79kDa
Observed MW:
79kDa
This gene encodes a member of the myotubularin-related family and is part of the MTMR6 subgroup. Family members are dual-specificity phosphatases and the encoded protein contains a phosphoinositide-binding domain (PID) and a SET-interacting domain (SID). Defects in other family members have been found in myotubular myopathic diseases.
Purification Method
Affinity purification
Gene ID
55613
RRID
AB_2770473
Buffer Information
Store at -20℃. Avoid freeze / thaw cycles. Buffer: PBS with 0.01% thimerosal,50% glycerol,pH7.3.
Western blot analysis of various lysates using MTMR8 Rabbit pAb (CAB17723) at 1:1000 dilution. Secondary antibody: HRP-conjugated Goat anti-Rabbit IgG (H+L) (CABS014) at 1:10000 dilution. Lysates/proteins: 25μg per lane. Blocking buffer: 3% nonfat dry milk in TBST. Detection: ECL Basic Kit (AbGn00020). Exposure time: 10s.
Immunohistochemistry analysis of paraffin-embedded Mouse kidney using MTMR8 Rabbit pAb (CAB17723) at dilution of 1:100 (40x lens). Microwave antigen retrieval performed with 0.01M PBS Buffer (pH 7.2) prior to IHC staining.
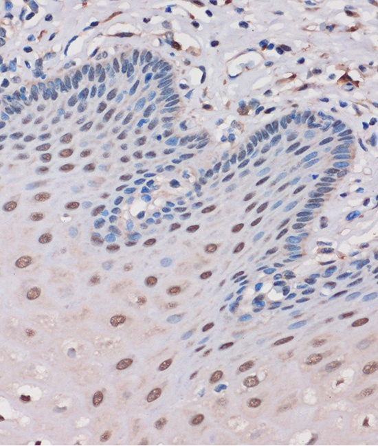
Immunohistochemistry analysis of paraffin-embedded Human esophageal using MTMR8 Rabbit pAb (CAB17723) at dilution of 1:100 (40x lens). Microwave antigen retrieval performed with 0.01M PBS Buffer (pH 7.2) prior to IHC staining.