The MYOCD Antibody (CAB16159) is a high-quality antibody developed for reliable detection and analysis of target proteins. This antibody, raised in rabbits, is highly reactive with human samples and is validated for use in various applications, including Western blotting and immunohistochemistry. MyocD plays a crucial role in muscle cell differentiation and contractility, making it a key target for studies in muscle biology and physiology. Its role in regulating muscle growth and function makes it a valuable tool for research into muscle disorders, such as muscular dystrophy and myopathy.
This antibody is validated for use in WB, IHC-P, ELISA applications and has demonstrated reactivity against Human, Rat samples.
Product Name:
MYOCD Antibody
SKU:
CAB16159
Size:
20μL, 100μL
Reactivity:
Human, Rat
Conjugate:
Unconjugated
Immunogen:
Synthetic peptide. This information is considered to be commercially sensitive.
Recommended starting concentration is 1 μg/mL. Please optimize the concentration based on your specific assay requirements.
Synonyms:
MGBL, MYCD, MYOCD
Cellular Localization:
Nucleus.
Calculated MW:
102kDa
Observed MW:
Refertofigures
This gene encodes a nuclear protein, which is expressed in heart, aorta, and in smooth muscle cell-containing tissues. It functions as a transcriptional co-activator of serum response factor (SRF) and modulates expression of cardiac and smooth muscle-specific SRF-target genes, and thus may play a crucial role in cardiogenesis and differentiation of the smooth muscle cell lineage. Alternatively spliced transcript variants encoding different isoforms have been found for this gene.
Purification Method
Affinity purification
Gene ID
93649
RRID
AB_2763607
Buffer Information
Store at -20℃. Avoid freeze / thaw cycles. Buffer: PBS containing 50% glycerol, preserved with proclin300 or sodium azide, pH 7.3.
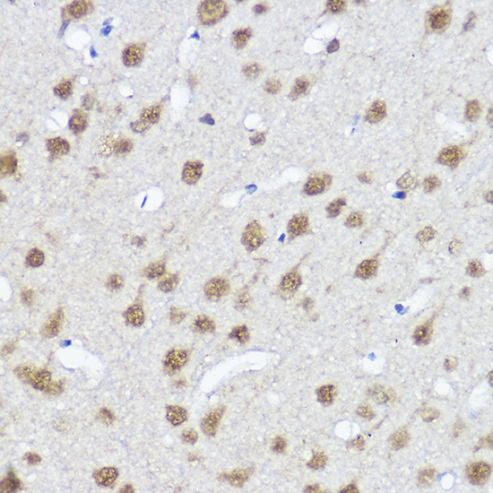
Immunohistochemistry analysis of paraffin-embedded Rat brain using MYOCD Rabbit pAb (CAB16159) at dilution of 1:100 (40x lens). High pressure antigen retrieval performed with 0.01M Citrate buffer (pH 6.0) prior to IHC staining.