The Nardilysin Polyclonal Antibody (CAB9119) is a valuable tool for researchers studying Nardilysin, a metalloendopeptidase involved in various physiological processes. This polyclonal antibody, raised in rabbits, exhibits high reactivity with human samples and is validated for use in Western blot applications. It specifically binds to the Nardilysin protein, enabling detection and analysis in a variety of cell types.Nardilysin plays a critical role in the regulation of peptide metabolism and protein processing, making it a key target for research in areas such as neurobiology, cancer, and metabolism.
By understanding the function and activity of Nardilysin, researchers can gain insights into its role in disease development and progression, paving the way for the development of novel therapeutic strategies.Overall, the Nardilysin Polyclonal Antibody (CAB9119) is a reliable tool for researchers looking to investigate the role of Nardilysin in various biological processes, offering valuable insights into its potential implications in health and disease.
Product Name:
NRD1 Rabbit Polyclonal Antibody
SKU:
CAB9119
Size:
20uL, 100uL
Isotype:
IgG
Host Species:
Rabbit
Reactivity:
Human,Mouse,Rat
Immunogen:
Recombinant fusion protein containing a sequence corresponding to amino acids 160-400 of human NRD1 (NP_001095132.1).
This gene encodes a zinc-dependent endopeptidase that cleaves peptide substrates at the N-terminus of arginine residues in dibasic moieties and is a member of the peptidase M16 family. This protein interacts with heparin-binding EGF-like growth factor and plays a role in cell migration and proliferation. Multiple transcript variants encoding different isoforms have been found for this gene.
Purification Method:
Affinity purification
Gene ID:
4898
Storage Buffer:
Store at -20℃. Avoid freeze / thaw cycles.Buffer: PBS with 0.02% sodium azide,50% glycerol,pH7.3.
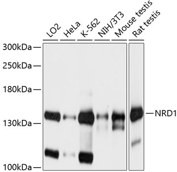
Western blot analysis of extracts of various cell lines, using NRD1 antibody (CAB9119) at 1:1000 dilution.Secondary antibody: HRP Goat Anti-Rabbit IgG (H+L) (CABS014) at 1:10000 dilution.Lysates/proteins: 25μg per lane.Blocking buffer: 3% nonfat dry milk in TBST.Detection: ECL Basic Kit (AbGn00020).Exposure time: 1s.