The NCK1 Monoclonal Antibody (CAB9129) is a high-quality antibody developed for reliable detection and analysis of target proteins. This antibody, produced in rabbits, is highly specific for detecting NCK in human samples and has been validated for use in Western blot applications.NCK is a crucial adapter protein that links cell surface receptors to downstream signaling molecules, playing a critical role in processes such as cell growth, differentiation, and migration. Its involvement in various cellular functions makes it a valuable target for research in various fields, including cancer biology, cell biology, and developmental biology.
This antibody is validated for use in WB, IHC-P, IF/ICC, ELISA applications and has demonstrated reactivity against Human, Mouse, Rat samples.
Product Name:
NCK1 Monoclonal Antibody
SKU:
CAB9129
Size:
20μL, 100μL
Reactivity:
Human, Mouse, Rat
Clone Number:
ARC1441
Conjugate:
Unconjugated
Immunogen:
Synthetic peptide. This information is considered to be commercially sensitive.
Recommended starting concentration is 1 μg/mL. Please optimize the concentration based on your specific assay requirements.
Synonyms:
NCK, nck-1, NCKalpha, NCK1
Positive Sample:
HeLa, 293T, Mouse lung, Mouse brain, Rat brain
Cellular Localization:
Cytoplasm, Endoplasmic Reticulum, Nucleus.
Calculated MW:
43kDa
Observed MW:
37kDa
The protein encoded by this gene is one of the signaling and transforming proteins containing Src homology 2 and 3 (SH2 and SH3) domains. It is located in the cytoplasm and is an adaptor protein involved in transducing signals from receptor tyrosine kinases to downstream signal recipients such as RAS. Alternatively spliced transcript variants encoding different isoforms have been found.
Purification Method
Affinity purification
Gene ID
4690
RRID
AB_2863663
Buffer Information
Store at -20℃. Avoid freeze / thaw cycles. Buffer: PBS containing 50% glycerol and 0.05% BSA, preserved with proclin300 or sodium azide, pH 7.3.
Western blot analysis of various lysates using NCK11 Rabbit mAb (CAB9129) at 1:1000 dilution. Secondary antibody: HRP-conjugated Goat anti-Rabbit IgG (H+L) (CABS014) at 1:10000 dilution. Lysates/proteins: 25μg per lane. Blocking buffer: 3% nonfat dry milk in TBST. Detection: ECL Basic Kit (AbGn00020). Exposure time: 1s.
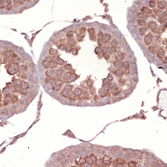
Immunohistochemistry analysis of paraffin-embedded Rat testis using NCK11 Rabbit mAb (CAB9129) at dilution of 1:100 (40x lens). Microwave antigen retrieval performed with 0.01M Tris/EDTA Buffer (pH 9.0) prior to IHC staining.