The NDUFS3 Polyclonal Antibody (CAB3983) is a high-quality antibody developed for reliable detection and analysis of target proteins. This antibody, produced in rabbits, specifically targets human NDUFS3 and is validated for use in Western blot applications. By binding to NDUFS3, researchers can detect and analyze this important protein in various cell types, making it ideal for studies in bioenergetics, metabolism, and mitochondrial disorders.NDUFS3 is essential for the function of complex I, the largest enzyme complex in the electron transport chain responsible for generating ATP.
This antibody is validated for use in WB, ELISA applications and has demonstrated reactivity against Human, Mouse samples.
Product Name:
NDUFS3 Polyclonal Antibody
SKU:
CAB3983
Size:
20μL, 100μL
Reactivity:
Human, Mouse
Conjugate:
Unconjugated
Immunogen:
Recombinant protein (or fragment).This information is considered to be commercially sensitive.
Recommended starting concentration is 1 μg/mL. Please optimize the concentration based on your specific assay requirements.
Synonyms:
CI-30, MC1DN8, NDUFS3
Positive Sample:
THP-1
Cellular Localization:
Mitochondrion Inner Membrane.
Calculated MW:
30kDa
Observed MW:
26kDa
This gene encodes one of the iron-sulfur protein (IP) components of mitochondrial NADH:ubiquinone oxidoreductase (complex I). Mutations in this gene are associated with Leigh syndrome resulting from mitochondrial complex I deficiency.
Purification Method
Affinity purification
Gene ID
4722
RRID
AB_2765428
Buffer Information
Store at -20℃. Avoid freeze / thaw cycles. Buffer: PBS containing 50% glycerol, preserved with proclin300 or sodium azide, pH 7.3.
Western blot analysis of lysates from THP-1 cells, using NDUFS3 Rabbit pAb (CAB3983). Secondary antibody: HRP-conjugated Goat anti-Rabbit IgG (H+L) (CABS014) at 1:10000 dilution. Lysates/proteins: 25μg per lane. Blocking buffer: 3% nonfat dry milk in TBST.
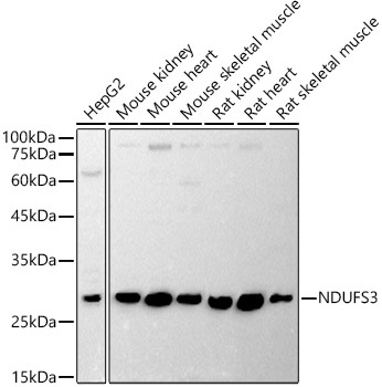
Western blot analysis of various lysates using NDUFS3 Rabbit pAb (CAB3983) at 1:1000 dilution. Secondary antibody: HRP-conjugated Goat anti-Rabbit IgG (H+L) (CABS014) at 1:10000 dilution. Lysates/proteins: 25μg per lane. Blocking buffer: 3% nonfat dry milk in TBST. Detection: ECL Basic Kit (AbGn00020). Exposure time: 90s.