The NEDD4L Antibody (CAB8085) is a high-quality antibody developed for reliable detection and analysis of target proteins. This gene encodes a member of the Nedd4 family of HECT domain E3 ubiquitin ligases. HECT domain E3 ubiquitin ligases transfer ubiquitin from E2 ubiquitin-conjugating enzymes to protein substrates, thus targeting specific proteins for lysosomal degradation. The encoded protein mediates the ubiquitination of multiple target substrates and plays a critical role in epithelial sodium transport by regulating the cell surface expression of the epithelial sodium channel, ENaC. Single nucleotide polymorphisms in this gene may be associated with essential hypertension. Alternatively spliced transcript variants encoding multiple isoforms have been observed for this gene. RRID AB_2770554 Gene ID 23327 Swiss Prot Synonym RSP5; PVNH7; NEDD4-2; NEDD4.2; hNEDD4-2; NEDD4L
This antibody is validated for use in WB, IHC-P, IF/ICC, ELISA applications and has demonstrated reactivity against Human, Mouse, Rat samples.
Product Name:
NEDD4L Antibody
SKU:
CAB8085
Size:
100μL, 20μL
Reactivity:
Human, Mouse, Rat
Clone Number:
-
Conjugate:
Unconjugated
Immunogen:
Recombinant protein (or fragment).This information is considered to be commercially sensitive.
Tested Applications:
WBIHC-PIF/ICCELISA
Recommended Dilution:
WB
1:500 - 1:2000
IHC-P
1:50 - 1:200
IF
/
ICC
1:50 - 1:200
ELISA
Recommended starting concentration is 1 μg/mL. Please optimize the concentration based on your specific assay requirements.
Synonyms:
RSP5, PVNH7, NEDD4-2, NEDD4.2, hNEDD4-2, NEDD4L
Positive Sample:
BT-474, Mouse brain, Rat brain
Cellular Localization:
Cytoplasm.
Calculated MW:
112kDa
Observed MW:
113kDa
This gene encodes a member of the Nedd4 family of HECT domain E3 ubiquitin ligases. HECT domain E3 ubiquitin ligases transfer ubiquitin from E2 ubiquitin-conjugating enzymes to protein substrates, thus targeting specific proteins for lysosomal degradation. The encoded protein mediates the ubiquitination of multiple target substrates and plays a critical role in epithelial sodium transport by regulating the cell surface expression of the epithelial sodium channel, ENaC. Single nucleotide polymorphisms in this gene may be associated with essential hypertension. Alternatively spliced transcript variants encoding multiple isoforms have been observed for this gene. RRID AB_2770554 Gene ID 23327 Swiss Prot Synonym RSP5; PVNH7; NEDD4-2; NEDD4.2; hNEDD4-2; NEDD4L
Purification Method:
Affinity purification
Gene ID:
23327
RRID:
AB_2770554
Buffer Information:
Store at -20℃. Avoid freeze / thaw cycles. Buffer: PBS with 0.09% Sodium azide,50% glycerol,pH7.3.
Western blot analysis of various lysates using NEDD4L Rabbit pAb (CAB8085) at 1:1000 dilution. Secondary antibody: HRP-conjugated Goat anti-Rabbit IgG (H+L) (AS014) at 1:10000 dilution. Lysates/proteins: 25μg per lane. Blocking buffer: 3% nonfat dry milk in TBST. Detection: ECL Basic Kit (AbGn00020). Exposure time: 90s.
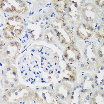
Immunohistochemistry analysis of paraffin-embedded Rat kidney using NEDD4L Rabbit pAb (CAB8085) at dilution of 1:200 (40x lens). Microwave antigen retrieval performed with 0.01M PBS Buffer (pH 7.2) prior to IHC staining.
Immunofluorescence analysis of L929 cells using NEDD4L Rabbit pAb (CAB8085) at dilution of 1:100. Secondary antibody: Cy3-conjugated Goat anti-Rabbit IgG (H+L) (AS007) at 1:500 dilution. Blue: DAPI for nuclear staining.