The NEK9 Antibody (CAB17806) is a high-quality antibody developed for reliable detection and analysis of target proteins. This antibody, produced in rabbits, exhibits high specificity and sensitivity towards human samples, making it suitable for use in various applications such as Western blotting.NEK9 is known to play a crucial role in maintaining genomic stability and proper chromosome segregation during mitosis. Dysregulation of NEK9 has been associated with various diseases, including cancer, making it a promising target for therapeutic interventions.
This antibody is validated for use in WB, IHC-P, ELISA applications and has demonstrated reactivity against Human, Mouse, Rat samples.
Product Name:
NEK9 Antibody
SKU:
CAB17806
Size:
20μL, 100μL
Reactivity:
Human, Mouse, Rat
Conjugate:
Unconjugated
Immunogen:
Recombinant protein (or fragment).This information is considered to be commercially sensitive.
Recommended starting concentration is 1 μg/mL. Please optimize the concentration based on your specific assay requirements.
Synonyms:
NC, APUG, NERCC, LCCS10, NERCC1, NEK9
Positive Sample:
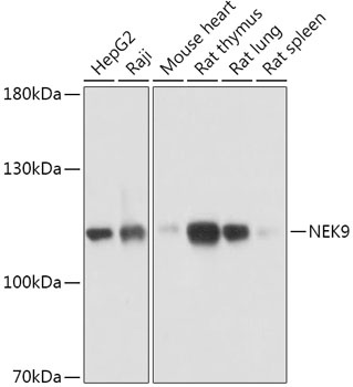
HepG2, Raji, Mouse heart, Rat thymus, Rat lung, Rat spleen
Cellular Localization:
Cytosol, Nucleus.
Calculated MW:
107kDa
Observed MW:
107kDa
This gene encodes a member of the NimA (never in mitosis A) family of serine/threonine protein kinases. The encoded protein is activated in mitosis and, in turn, activates other family members during mitosis. This protein also mediates cellular processes that are essential for interphase progression.
Purification Method
Affinity purification
Gene ID
91754
RRID
AB_2770563
Buffer Information
Store at -20℃. Avoid freeze / thaw cycles. Buffer: PBS with 0.01% thimerosal,50% glycerol,pH7.3.
Western blot analysis of various lysates using NEK9 Rabbit pAb (CAB17806) at 1:1000 dilution. Secondary antibody: HRP-conjugated Goat anti-Rabbit IgG (H+L) (CABS014) at 1:10000 dilution. Lysates/proteins: 25μg per lane. Blocking buffer: 3% nonfat dry milk in TBST. Detection: ECL Basic Kit (AbGn00020). Exposure time: 15s.
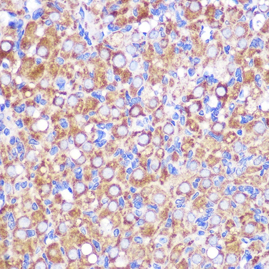
Immunohistochemistry analysis of paraffin-embedded Rat ovary using NEK9 Rabbit pAb (CAB17806) at dilution of 1:100 (40x lens). Microwave antigen retrieval performed with 0.01M PBS Buffer (pH 7.2) prior to IHC staining.