The NEUROG3 Antibody (CAB2772) is a high-quality antibody developed for reliable detection and analysis of target proteins. This antibody, raised in rabbits, exhibits high reactivity with human samples and has been validated for use in various applications such as Western blot, immunofluorescence, and immunohistochemistry.Neurogenin-3 plays a crucial role in the differentiation and function of pancreatic endocrine cells, making it a key player in understanding diabetes and other metabolic disorders. By detecting and analyzing Neurogenin-3 protein expression in different cell types, this antibody enables researchers to further explore the mechanisms underlying pancreatic development and function.
This antibody is validated for use in WB, IHC-P, ELISA applications and has demonstrated reactivity against Human, Mouse, Rat samples.
Product Name:
NEUROG3 Antibody
SKU:
CAB2772
Size:
20μL, 100μL
Reactivity:
Human, Mouse, Rat
Conjugate:
Unconjugated
Immunogen:
Recombinant protein (or fragment).This information is considered to be commercially sensitive.
Sequence:
MTPQ PSGA PTVQ VTRE TERS FPRA SEDE VTCP TSAP PSPT RTRG NCAE AEEG GCRG APRK LRAR RGGR SRPK SELA LSKQ RRSR RKKA NDRE RNRM HNLN
Tested Applications:
WBIHC-PELISA
Recommended Dilution:
WB
1:500 - 1:1000
IHC-P
1:50 - 1:200
ELISA
Recommended starting concentration is 1 μg/mL. Please optimize the concentration based on your specific assay requirements.
Synonyms:
ngn3, Atoh5, NGN-3, Math4B, bHLHa7, NEUROG3
Positive Sample:
THP-1, Rat testis
Cellular Localization:
Nucleus.
Calculated MW:
23kDa
Observed MW:
25kDa
The protein encoded by this gene is a basic helix-loop-helix (bHLH) transcription factor involved in neurogenesis. The encoded protein likely acts as a heterodimer with another bHLH protein. Defects in this gene are a cause of congenital malabsorptive diarrhea 4 (DIAR4).
Purification Method
Affinity purification
Gene ID
50674
RRID
AB_2764615
Buffer Information
Store at -20℃. Avoid freeze / thaw cycles. Buffer: PBS containing 50% glycerol, preserved with proclin300 or sodium azide, pH 7.3.
Western blot analysis of various lysates, using NEUROG3 Rabbit pAb (CAB2772) at 1:1000 dilution. Secondary antibody: HRP-conjugated Goat anti-Rabbit IgG (H+L) (CABS014) at 1:10000 dilution. Lysates/proteins: 25μg per lane. Blocking buffer: 3% nonfat dry milk in TBST. Detection: ECL Basic Kit (AbGn00020). Exposure time: 60s.
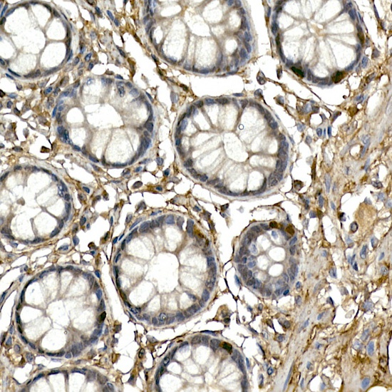
Immunohistochemistry analysis of paraffin-embedded Human colon using NEUROG3 Rabbit pAb (CAB2772) at dilution of 1:200 (40x lens). High pressure antigen retrieval performed with 0.01M Citrate buffer (pH 6.0) prior to IHC staining.