The NGFR Monoclonal Antibody (CAB19088) is a high-quality antibody developed for reliable detection and analysis of target proteins. NGFR is a cell surface protein involved in cell differentiation, survival, and apoptosis in the nervous system.This antibody, generated in rabbits, is reactive with human samples and has been validated for use in various applications, including immunohistochemistry, flow cytometry, and Western blot. By binding to NGFR, this antibody enables accurate detection and analysis of NGFR expression in different cell types, making it an essential tool for studies in neuroscience, neurobiology, and cancer research.
This antibody is validated for use in WB, IHC-P, ELISA applications and has demonstrated reactivity against Human, Mouse, Rat samples.
Product Name:
NGFR Monoclonal Antibody
SKU:
CAB19088
Size:
20μL, 100μL
Reactivity:
Human, Mouse, Rat
Clone Number:
ARC0284
Conjugate:
Unconjugated
Immunogen:
Synthetic peptide. This information is considered to be commercially sensitive.
Nerve growth factor receptor contains an extracellular domain containing four 40-amino acid repeats with 6 cysteine residues at conserved positions followed by a serine/threonine-rich region, a single transmembrane domain, and a 155-amino acid cytoplasmic domain. The cysteine-rich region contains the nerve growth factor binding domain.
Purification Method
Affinity purification
Gene ID
4804
RRID
AB_2862580
Buffer Information
Store at -20℃. Avoid freeze / thaw cycles. Buffer: PBS containing 50% glycerol and 0.05% BSA, preserved with proclin300 or sodium azide, pH 7.3.
Western blot analysis of various lysates using p75NTR/NGFR Rabbit mAb (CAB19088) at 1:4000 dilution incubated overnight at 4℃. Secondary antibody: HRP-conjugated Goat anti-Rabbit IgG (H+L) (CABS014) at 1:10000 dilution. Lysates/proteins: 25 μg per lane. Blocking buffer: 3% nonfat dry milk in TBST. Detection: ECL Basic Kit (AbGn00020). Exposure time: 30s.
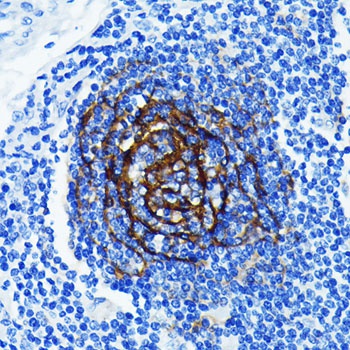
Immunohistochemistry analysis of paraffin-embedded Human lung cancer using p75NTR/NGFR Rabbit mAb (CAB19088) at dilution of 1:100 (40x lens). Microwave antigen retrieval performed with 0.01M PBS Buffer (pH 7.2) prior to IHC staining.