Description
MTH1 Antibody (CAB5474)
The MTH1 Antibody (CAB5474) is a high-quality antibody developed for reliable detection and analysis of target proteins. This antibody, produced in rabbits, exhibits high reactivity with human samples and has been validated for use in Western blot applications. By specifically binding to the NUDT1 protein, this antibody enables precise detection and analysis in various cell types, making it ideal for investigations in fields such as genomics and cancer research.NUDT1, also known as nudix hydrolase 1, is involved in DNA damage repair mechanisms and helps maintain genomic stability. Its role in DNA metabolism and repair pathways makes it a key player in protecting cells from mutations and promoting genomic integrity.
This antibody is validated for use in WB, ELISA applications and has demonstrated reactivity against Human samples.
| Product Name: | MTH1 Antibody |
| SKU: | CAB5474 |
| Size: | 20μL, 100μL |
| Reactivity: | Human |
| Conjugate: | Unconjugated |
| Immunogen: | Recombinant protein (or fragment).This information is considered to be commercially sensitive. | ||||
| Sequence: | MSGI SPQQ MGEP EGSW SGKN PGTM GASR LYTL VLVL QPQR VLLG MKKR GFGA GRWN GFGG KVQE GETI EDGA RREL QEES GLTV DALH KVGQ IVFE FVGE PELM DVHV FCTD SIQG TPVE SDEM RPCW FQLD QIPF KDMW PDDS YWFP LLLQ KKKF HGYF KFQG QDTI LDYT LREV DTV | ||||
| Tested Applications: | WB ELISA | ||||
| Recommended Dilution: |
| ||||
| Synonyms: | MTH1 |
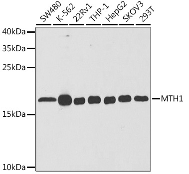
| Positive Sample: | SW480, K-562, 22Rv1, THP-1, HepG2, SKOV3, 293T |
| Cellular Localization: | Cytoplasm, Mitochondrion Matrix, Nucleus. |
| Calculated MW: | 18kDa |
| Observed MW: | 18kDa |
Misincorporation of oxidized nucleoside triphosphates into DNA/RNA during replication and transcription can cause mutations that may result in carcinogenesis or neurodegeneration. The protein encoded by this gene is an enzyme that hydrolyzes oxidized purine nucleoside triphosphates, such as 8-oxo-dGTP, 8-oxo-dATP, 2-hydroxy-dATP, and 2-hydroxy rATP, to monophosphates, thereby preventing misincorporation. The encoded protein is localized mainly in the cytoplasm, with some in the mitochondria, suggesting that it is involved in the sanitization of nucleotide pools both for nuclear and mitochondrial genomes. Several alternatively spliced transcript variants, some of which encode distinct isoforms, have been identified. Additional variants have been observed, but their full-length natures have not been determined. A rare single-nucleotide polymorphism that results in the production of an additional, longer isoform (p26) has been described.
| Purification Method | Affinity purification |
| Gene ID | 4521 |
| RRID | AB_2766275 |
| Buffer Information | Store at -20℃. Avoid freeze / thaw cycles. Buffer: PBS containing 50% glycerol, preserved with proclin300 or sodium azide, pH 7.3. |
