The NUP62 Antibody (CAB2499) is a high-quality antibody developed for reliable detection and analysis of target proteins. This antibody, generated in rabbits, is highly specific for human samples and is validated for use in various applications, including Western blotting.NUP62 is a key component of the nuclear pore complex, which regulates the transport of molecules in and out of the cell nucleus. Dysregulation of NUP62 has been linked to various diseases, including cancer and neurodegenerative disorders.
This antibody is validated for use in WB, ELISA applications and has demonstrated reactivity against Human samples.
Product Name:
NUP62 Antibody
SKU:
CAB2499
Size:
20μL, 100μL
Reactivity:
Human
Conjugate:
Unconjugated
Immunogen:
Recombinant protein (or fragment).This information is considered to be commercially sensitive.
Recommended starting concentration is 1 μg/mL. Please optimize the concentration based on your specific assay requirements.
Synonyms:
p62, IBSN, SNDI, NUP62
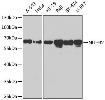
Positive Sample:
A-549, HeLa, HT-29, Raji, BT-474, U-937
Cellular Localization:
Cytoplasm, Nucleus, Cytoskeleton, Nuclear Pore Complex, Spindle Pole.
Calculated MW:
53kDa
Observed MW:
62kDa
The nuclear pore complex is a massive structure that extends across the nuclear envelope, forming a gateway that regulates the flow of macromolecules between the nucleus and the cytoplasm. Nucleoporins are the main components of the nuclear pore complex in eukaryotic cells. The protein encoded by this gene is a member of the FG-repeat containing nucleoporins and is localized to the nuclear pore central plug. This protein associates with the importin alpha/beta complex which is involved in the import of proteins containing nuclear localization signals. Multiple transcript variants of this gene encode a single protein isoform.
Purification Method
Affinity purification
Gene ID
23636
RRID
AB_2764390
Buffer Information
Store at -20℃. Avoid freeze / thaw cycles. Buffer: PBS containing 50% glycerol, preserved with proclin300 or sodium azide, pH 7.3.
Western blot analysis of various lysates using NUP62 Rabbit pAb (CAB2499) at 1:1000 dilution. Secondary antibody: HRP-conjugated Goat anti-Rabbit IgG (H+L) (CABS014) at 1:10000 dilution. Lysates/proteins: 25μg per lane. Blocking buffer: 3% nonfat dry milk in TBST. Detection: ECL Basic Kit (AbGn00020).