The NYX Antibody (CAB7830) is a high-quality antibody developed for reliable detection and analysis of target proteins. This antibody, raised in rabbits, is highly specific to human samples and has been validated for use in Western blot applications. By binding to Nyctalopin, the antibody allows for the detection and analysis of this important protein in various cell types, making it ideal for studies in ophthalmology and neuroscience research.Nyctalopin is a transmembrane protein found in the retina and is essential for proper visual function, particularly in dim light conditions.
This antibody is validated for use in WB, IHC-P, ELISA applications and has demonstrated reactivity against Human, Mouse samples.
Product Name:
NYX Antibody
SKU:
CAB7830
Size:
20μL, 100μL
Reactivity:
Human, Mouse
Conjugate:
Unconjugated
Immunogen:
Recombinant protein (or fragment).This information is considered to be commercially sensitive.
The product of this gene belongs to the small leucine-rich proteoglycan (SLRP) family of proteins. Defects in this gene are the cause of congenital stationary night blindness type 1 (CSNB1), also called X-linked congenital stationary night blindness (XLCSNB). CSNB1 is a rare inherited retinal disorder characterized by impaired scotopic vision, myopia, hyperopia, nystagmus and reduced visual acuity. The role of other SLRP proteins suggests that mutations in this gene disrupt developing retinal interconnections involving the ON-bipolar cells, leading to the visual losses seen in patients with complete CSNB.
Purification Method
Affinity purification
Gene ID
60506
RRID
AB_2770707
Buffer Information
Store at -20℃. Avoid freeze / thaw cycles. Buffer: PBS containing 50% glycerol, preserved with proclin300 or sodium azide, pH 7.3.
Western blot analysis of lysates from 293T cells, using NYX Rabbit pAb (CAB7830) at 1:1000 dilution. Secondary antibody: HRP-conjugated Goat anti-Rabbit IgG (H+L) (CABS014) at 1:10000 dilution. Lysates/proteins: 25μg per lane. Blocking buffer: 3% nonfat dry milk in TBST. Detection: ECL Enhanced Kit (AbGn00021). Exposure time: 90s.
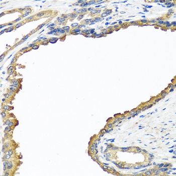
Immunohistochemistry analysis of paraffin-embedded Human prostate using NYX Rabbit pAb (CAB7830) at dilution of 1:100 (40x lens). Microwave antigen retrieval performed with 0.01M PBS Buffer (pH 7.2) prior to IHC staining.