The OLA1 Antibody (CAB11671) is a high-quality antibody developed for reliable detection and analysis of target proteins. This antibody, raised in rabbits, has been shown to be highly specific and reactive with human samples, making it an ideal choice for Western blot applications.The OBG-Like ATPase 1 protein plays a crucial role in regulating cellular energy metabolism and signal transduction pathways. Dysregulation of OBG-Like ATPase 1 has been implicated in various diseases, including cancer and metabolic disorders.
This antibody is validated for use in WB, IHC-P, IF/ICC, ELISA applications and has demonstrated reactivity against Human, Mouse, Rat samples.
Product Name:
OLA1 Antibody
SKU:
CAB11671
Size:
20μL, 100μL
Reactivity:
Human, Mouse, Rat
Conjugate:
Unconjugated
Immunogen:
Recombinant protein (or fragment).This information is considered to be commercially sensitive.
Recommended starting concentration is 1 μg/mL. Please optimize the concentration based on your specific assay requirements.
Synonyms:
DOC45, GBP45, GTBP9, GTPBP9, PTD004, OLA1
Positive Sample:
U-251MG, Jurkat, MCF7, Mouse brain, Mouse lung, Rat testis
Cellular Localization:
Cytoplasm, Nucleus, Nucleolus.
Calculated MW:
45kDa
Observed MW:
45kDa
This gene encodes a member of the GTPase protein family. The encoded protein interacts with breast cancer-associated gene 1 (BRCA1) and BRCA1-associated RING domain protein (BARD1), and is involved in centrosome regulation. Overexpression of this gene has been observed in multiple types of cancer and may be associated with poor survival. Pseudogenes of this gene have been defined on chromosomes 17 and 22.
Purification Method
Affinity purification
Gene ID
29789
RRID
AB_2758676
Buffer Information
Store at -20℃. Avoid freeze / thaw cycles. Buffer: PBS containing 50% glycerol, preserved with proclin300 or sodium azide, pH 7.3.
Western blot analysis of various lysates using OLA1 Rabbit pAb (CAB11671) at 1:1000 dilution. Secondary antibody: HRP-conjugated Goat anti-Rabbit IgG (H+L) (CABS014) at 1:10000 dilution. Lysates/proteins: 25μg per lane. Blocking buffer: 3% nonfat dry milk in TBST. Detection: ECL Basic Kit (AbGn00020). Exposure time: 1s.
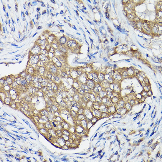
Immunohistochemistry analysis of paraffin-embedded Human breast cancer using OLA1 Rabbit pAb (CAB11671) at dilution of 1:100 (40x lens). High pressure antigen retrieval performed with 0.01M Citrate buffer (pH 6.0) prior to IHC staining.
Immunofluorescence analysis of NIH/3T3 cells using OLA1 Rabbit pAb (CAB11671) at dilution of 1:100 (40x lens). Secondary antibody: Cy3-conjugated Goat anti-Rabbit IgG (H+L) (CABS007) at 1:500 dilution. Blue: DAPI for nuclear staining.
Immunofluorescence analysis of PC-12 cells using OLA1 Rabbit pAb (CAB11671) at dilution of 1:100 (40x lens). Secondary antibody: Cy3-conjugated Goat anti-Rabbit IgG (H+L) (CABS007) at 1:500 dilution. Blue: DAPI for nuclear staining.