The OPRK1 Antibody (CAB14035) is a high-quality antibody developed for reliable detection and analysis of target proteins. This cell surface receptor is involved in the regulation of pain perception and the modulation of neurotransmitter release.Produced in rabbits, this antibody is highly specific to human OPRK1 samples and has been validated for use in Western blot applications. By targeting the OPRK1 protein, researchers can accurately detect and analyze its expression in various cell types. This makes the OPRK1 Polyclonal Antibody ideal for studies in neuroscience, pharmacology, and pain research.
This antibody is validated for use in WB, IHC-P, IF/ICC, ELISA applications and has demonstrated reactivity against Human, Mouse, Rat samples.
Product Name:
OPRK1 Antibody
SKU:
CAB14035
Size:
20μL, 100μL
Reactivity:
Human, Mouse, Rat
Conjugate:
Unconjugated
Immunogen:
Synthetic peptide. This information is considered to be commercially sensitive.
Recommended starting concentration is 1 μg/mL. Please optimize the concentration based on your specific assay requirements.
Synonyms:
KOP, KOR, KOR1, OPRK, KOR-1, K-OR-1, OPRK1
Positive Sample:
A-431, NIH/3T3, U-251MG, Rat brain
Cellular Localization:
Cell Membrane, Multi-Pass Membrane Protein.
Calculated MW:
43kDa
Observed MW:
43kDa
This gene encodes an opioid receptor, which is a member of the 7 transmembrane-spanning G protein-coupled receptor family. It functions as a receptor for endogenous ligands, as well as a receptor for various synthetic opioids. Ligand binding results in inhibition of adenylate cyclase activity and neurotransmitter release. This opioid receptor plays a role in the perception of pain and mediating the hypolocomotor, analgesic and aversive actions of synthetic opioids. Variations in this gene have also been associated with alcohol dependence and opiate addiction. Alternatively spliced transcript variants encoding different isoforms have been found for this gene. A recent study provided evidence for translational readthrough in this gene, and expression of an additional C-terminally extended isoform via the use of an alternative in-frame translation termination codon.
Purification Method
Affinity purification
Gene ID
4986
RRID
AB_2760890
Buffer Information
Store at -20℃. Avoid freeze / thaw cycles. Buffer: PBS containing 50% glycerol, preserved with proclin300 or sodium azide, pH 7.3.
Western blot analysis of various lysates, using OPRK1 Rabbit pAb (CAB14035) at 1:1000 dilution. Secondary antibody: HRP-conjugated Goat anti-Rabbit IgG (H+L) (CABS014) at 1:10000 dilution. Lysates/proteins: 25μg per lane. Blocking buffer: 3% nonfat dry milk in TBST. Detection: ECL Basic Kit (AbGn00020). Exposure time: 180s.
Western blot analysis of lysates from Rat brain, using OPRK1 Rabbit pAb (CAB14035) at 1:1000 dilution. Secondary antibody: HRP-conjugated Goat anti-Rabbit IgG (H+L) (CABS014) at 1:10000 dilution. Lysates/proteins: 25μg per lane. Blocking buffer: 3% nonfat dry milk in TBST. Detection: ECL Basic Kit (AbGn00020). Exposure time: 180s.
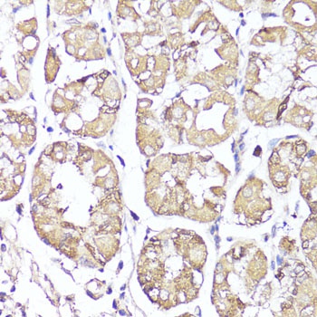
Immunohistochemistry analysis of paraffin-embedded Human stomach using OPRK1 Rabbit pAb (CAB14035) at dilution of 1:100 (40x lens). Microwave antigen retrieval performed with 0.01M PBS Buffer (pH 7.2) prior to IHC staining.
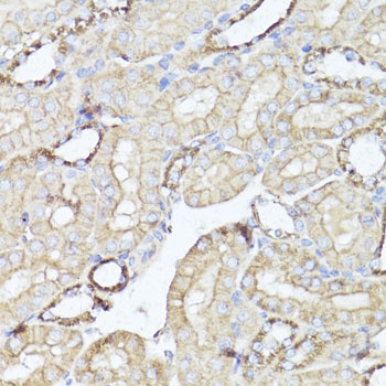
Immunohistochemistry analysis of paraffin-embedded Mouse kidney using OPRK1 Rabbit pAb (CAB14035) at dilution of 1:100 (40x lens). Microwave antigen retrieval performed with 0.01M PBS Buffer (pH 7.2) prior to IHC staining.