The PARP12 Antibody (CAB14317) is a high-quality antibody developed for reliable detection and analysis of target proteins. This antibody, produced in rabbits, exhibits high reactivity with human samples and is validated for use in Western blot applications. It specifically targets the PARP12 protein, allowing for accurate detection and analysis in different cell types, making it ideal for studies in cell biology and cancer research.PARP12 is known for its role in regulating DNA repair, gene expression, and stress responses, making it a crucial protein in maintaining genome integrity and cellular homeostasis.
This antibody is validated for use in WB, ELISA applications and has demonstrated reactivity against Human, Mouse, Rat samples.
Product Name:
PARP12 Antibody
SKU:
CAB14317
Size:
20μL, 100μL
Reactivity:
Human, Mouse, Rat
Conjugate:
Unconjugated
Immunogen:
Recombinant protein (or fragment).This information is considered to be commercially sensitive.
Recommended starting concentration is 1 μg/mL. Please optimize the concentration based on your specific assay requirements.
Synonyms:
ZC3H1, ARTD12, MST109, MSTP109, ZC3HDC1, PARP12
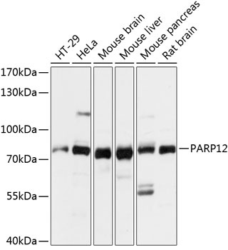
Positive Sample:
HT-29, HeLa, Mouse brain, Mouse liver, Mouse pancreas, Rat brain
Cellular Localization:
Nucleus.
Calculated MW:
79kDa
Observed MW:
79kDa
Enables protein ADP-ribosylase activity. Involved in protein auto-ADP-ribosylation and protein mono-ADP-ribosylation. Predicted to be located in nucleus.
Purification Method
Affinity purification
Gene ID
64761
RRID
AB_2761181
Buffer Information
Store at -20℃. Avoid freeze / thaw cycles. Buffer: PBS with 0.01% thimerosal,50% glycerol,pH7.3.
Western blot analysis of various lysates using PARP12 Rabbit pAb (CAB14317) at 1:3000 dilution. Secondary antibody: HRP-conjugated Goat anti-Rabbit IgG (H+L) (CABS014) at 1:10000 dilution. Lysates/proteins: 25μg per lane. Blocking buffer: 3% nonfat dry milk in TBST. Detection: ECL Basic Kit (AbGn00020). Exposure time: 10s.