The PDGFB Antibody (CAB1195) is a high-quality antibody developed for reliable detection and analysis of target proteins. This antibody, produced in rabbits, shows high specificity and reactivity towards human samples, making it an excellent choice for Western blot applications.PDGFB, also known as platelet-derived growth factor subunit B, plays a crucial role in tissue repair and development, making it a key player in diseases such as cancer, cardiovascular disorders, and fibrotic conditions.
This antibody is validated for use in WB, IHC-P, IF/ICC, ELISA applications and has demonstrated reactivity against Human, Rat samples.
Product Name:
PDGFB Antibody
SKU:
CAB1195
Size:
20μL, 100μL
Reactivity:
Human, Rat
Conjugate:
Unconjugated
Immunogen:
Synthetic peptide. This information is considered to be commercially sensitive.
Recommended starting concentration is 1 μg/mL. Please optimize the concentration based on your specific assay requirements.
Synonyms:
SIS, SSV, IBGC5, PDGF2, c-sis, PDGF-2, PDGFB
Positive Sample:
A-549, SH-SY5Y
Cellular Localization:
Secreted.
Calculated MW:
27kDa
Observed MW:
27kDa
This gene encodes a member of the protein family comprised of both platelet-derived growth factors (PDGF) and vascular endothelial growth factors (VEGF). The encoded preproprotein is proteolytically processed to generate platelet-derived growth factor subunit B, which can homodimerize, or alternatively, heterodimerize with the related platelet-derived growth factor subunit A. These proteins bind and activate PDGF receptor tyrosine kinases, which play a role in a wide range of developmental processes. Mutations in this gene are associated with meningioma. Reciprocal translocations between chromosomes 22 and 17, at sites where this gene and that for collagen type 1, alpha 1 are located, are associated with dermatofibrosarcoma protuberans, a rare skin tumor. Alternative splicing results in multiple transcript variants.
Purification Method
Affinity purification
Gene ID
5155
RRID
AB_2758888
Buffer Information
Store at -20℃. Avoid freeze / thaw cycles. Buffer: PBS containing 50% glycerol, preserved with proclin300 or sodium azide, pH 7.3.
Western blot analysis of various lysates using PDGFB Rabbit pAb (CAB1195) at 1:1000 dilution. Secondary antibody: HRP-conjugated Goat anti-Rabbit IgG (H+L) (CABS014) at 1:10000 dilution. Lysates/proteins: 25μg per lane. Blocking buffer: 3% nonfat dry milk in TBST. Detection: ECL Basic Kit (AbGn00020). Exposure time: 30s.
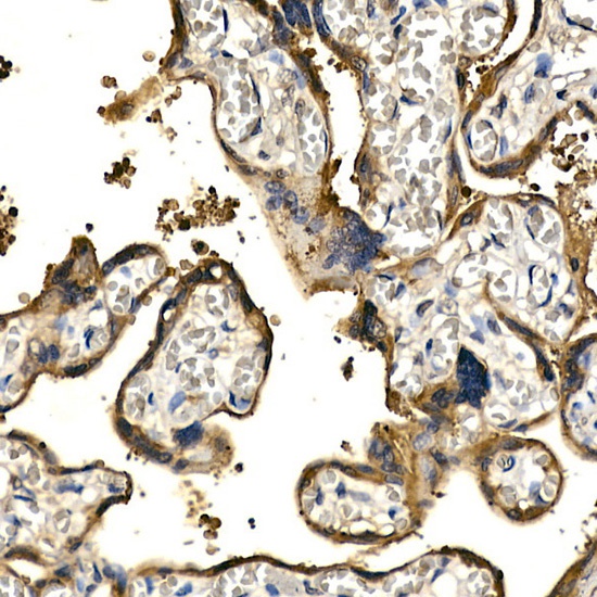
Immunohistochemistry analysis of paraffin-embedded Human placenta using PDGFB Rabbit pAb (CAB1195) at dilution of 1:100 (40x lens). High pressure antigen retrieval performed with 0.01M Citrate buffer (pH 6.0) prior to IHC staining.
Immunofluorescence analysis of HeLa cells using PDGFB Rabbit pAb (CAB1195) at dilution of 1:100 (40x lens). Secondary antibody: Cy3-conjugated Goat anti-Rabbit IgG (H+L) (CABS007) at 1:500 dilution. Blue: DAPI for nuclear staining.